院所感染控制再升級

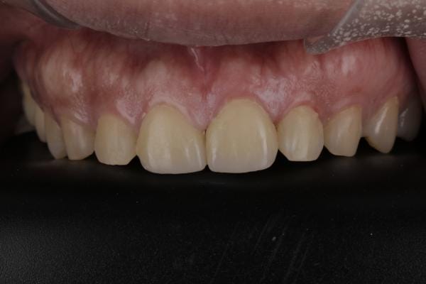
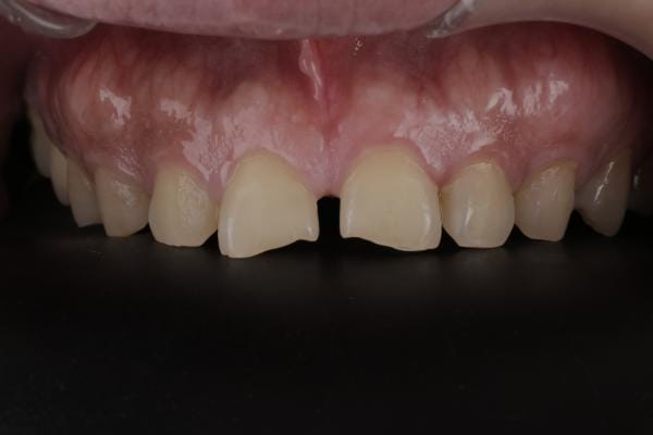
美容牙科劉先生 / Dr.任杏嫦

劉先生

主治醫師 - 任杏嫦醫師

謝謝任醫師耐心、細心地照料我的牙齒,讓我在治療過程中,對看牙醫的恐懼減緩許多!因為任醫師在治療過程中,不斷詢問是否會疼痛或痠痛,盡量讓我在治療過程中能迅速順利完成治療,謝謝任醫師長達三個月對我口腔的照護,現在我的牙齒已經免於痠痛困擾,牙齒的門面也變美觀了!如果親友有牙齒困擾,我會首推任醫師。



當代楊新牙醫診所

當代楊新牙醫診所,本網站禁止任何網際網路服務業者擷取或轉載內容。
門診收費明細

聯絡我們