院所感染控制再升級

All-on4 / 6 全口重建

全口缺牙患者的福音-固定式假牙,讓您重新品味人生

僅需四支植體就可以支撐全口假牙!

在臨床條件允許下,能夠在植入植體當天裝戴臨時固定式假牙,讓患者立即恢復正常生活。
透過四支或六支植體的全口重建治療概念,採用直式和傾斜方式植入植體。後方傾斜植入的植體可以避開下顎的神經線與上顎的鼻竇位置,降低垂直骨量的需求。

傳統植牙療程非常漫長,因可能面臨需要拔牙、補骨、矯正、補牙齦等,這些都是需費多時的程序,完成往往要等待半年以上;加上傳統植牙需要一顆一顆做人工植牙,須歷經多次手術,也不符合經濟效益。

不同於一般傳統植牙使用垂直式植體,All-on-4 / 6 全口重採用傾斜式植體,所需牙骨量較少,特別適合骨質流失嚴重的病人使用。

對於全口無牙或拔牙數量超過10到12顆的病患,只需從上、下顎黃金三角,也就是一般人牙骨量最高的區域中,選擇四支牙根強化補骨,就能安裝整付固定式假牙,大幅縮短等待補骨癒合的時間。

另外,牙肉萎縮嚴重的病人也適合接受 All-on-4 / 6 全口重建,其使用的假牙可模擬牙肉部分,以完美的牙、肉比例加以擴充,安裝後美觀加分,效用超越傳統活動式假牙。


All-on-4/6 全口重建優點

  1. 只需上、下顎各四支或六支植體支撐,由於所需的植體較少,牙縫也少,因此清潔較容易。
  2. 其中兩支植體的傾斜度即能替代牙橋,提供穩固的支撐力,減少補骨的需求。
  3. 與傳統植牙相比,減少手術次數,縮短治療週期。
  4. 最快當日即可裝戴臨時固定式假牙,恢復正常生活。
  5. 模仿天然骨頭隆起的形狀,重現自然的唇形,擬真人工牙齦,減少齒間黑三角更美觀。
  6. 堅持使用Procera原廠鈦合金連桿,美國原廠訂製,高品質且密合度佳,金屬支架享原廠五年保修。

金屬支架比一比

廠牌 NobelProcera IBO 它牌CAD/CAM IBO 鑄造式全口假牙
照片
生物相容性
材料 醫療級6AI/4V鈦金屬
重量輕,患者舒適
鈦金屬 合金金屬
重量重,患者不舒適
贋復物 軟體客製化專業設計 軟體客製化專業設計 仰賴配合的牙技所
密合度
精密度<20微米,降低螺絲鬆動
密合度較低 易變形
有氣泡
強度
860Mpa tensile strength
無參考數據 不穩定
外型輪廓 無參考數據 差,易變形
植體系統 Nobel原廠植體系統
其他授權植體系統
其他植體系統 植體系統限制
產品保固 產品五年原廠保修

全口重建流程

STEP 1 擬定客製化治療計畫

透過3D電腦斷層掃描,呈現骨頭立體影像植體與牙齒的360度視角,經專業醫師評估後,提供最適切的客製化治療計劃。

STEP 2 專科醫師團隊協同治療

擁有植牙、牙周病、假牙贋復、矯正專科醫師團隊,由各專科醫師協同為您治療,讓病患享有全方位且高品質的醫療服務。

STEP 3 手術前準備

評估患者身體狀況,包含脈搏、血壓、近期服用藥物史、過敏病史及身體疾病等,並安排手術時間。

STEP 4 進行植牙手術

上午由植牙專科醫師進行手術,搭配TCI電腦生理監測病患身體情況且麻醉醫師全程監控及調整麻醉劑量。

STEP 5 低周波放鬆臉部肌肉

植牙手術結束後,病患在專屬獨立休息室,使用低周波放鬆臉部肌肉及幫助傷口癒合,放鬆休息。

STEP 6 假牙贋復醫師裝牙

由假牙贋復專科醫師,現場針對每位病患的情況修磨假牙,完成後直接裝上臨時固定式假牙返家,不怕無牙有礙美觀。


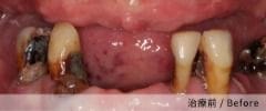
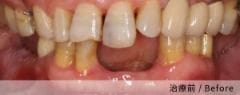
實際案例分享

案例一
案例二
案例三
案例四

當代楊新牙醫診所

當代楊新牙醫診所,本網站禁止任何網際網路服務業者擷取或轉載內容。
門診收費明細

聯絡我們