院所感染控制再升級

牙周專科

牙周病專科醫師

葉立維 醫師
  • 台灣牙周病醫學會專科醫師
  • 台大醫院牙周病兼任主治醫師
  • 台大醫院牙周暨人工植牙專科訓練
  • 美國牙周醫學會國際會員醫師
  • 中華民國植牙醫學會專科醫師
  • 台北市牙科植體學會會員醫師
  • ITI國際植牙學會會員
  • 台灣大學牙醫學士
時段
上午09:00-12:00            
下午14:30-17:30 V          
晚上18:00-21:00 V          

何謂牙周病?


牙周病主因是口腔衛生不佳或不正確,讓牙周病細菌、牙菌斑、牙結石、食物殘渣堆積在牙齒周圍,並沿著牙根表面往根尖處累積。這些細菌產生毒素引發身體免疫反應造成牙齦紅腫發炎流血,若置之不理,牙根周圍的齒槽骨就會漸漸流失,牙齒開始鬆動搖晃。
 

牙周病治療程序


MAPCare牙周專科治療方案

1.Mechanical
  • 利用超音波震盪將附著牙齒表面的牙結石震碎剝離﹐效果快但不夠徹底﹐尤其深層牙周囊袋內的牙結石無法消除乾淨。
  • 使用牙周刮刀深入牙周囊袋內﹐由牙醫師靠觸覺感受牙根表面的牙結石並去除。
2.Antimicrobial牙周專用局部藥膏
  • 輔助清除深度牙周囊袋及牙根分叉處的致病細菌。
  • 局部高濃度針對牙周致病細菌。
  • 對牙根表面有親和性﹐具有持續緩慢釋放的特性。
3.Photoherapy雷射
  • 超細光纖與特殊光波至牙周囊袋深處。
  • 強大滅菌功能﹐並且光線能照射到器械無法到達的死角。
  • 清除發炎組織時﹐同時進行止血效果。
  • 雷射能量可促進細胞復原與傷口癒合﹐減少術後疼痛。

MAPCare牙周專科治療方案

4.專科醫師治療

牙周病專科醫師是經牙周病專業訓練﹐俱備獨立診斷與牙周病治療能力的牙醫師。

有牙周病要找牙周專科醫師!

國人對醫療品質及生活品質的要求越來越高﹐尋求專科醫師治療與保留牙齒的意願也越來越強。
大部份的牙周病是慢性與隱性的﹐常因沒有即時診斷而延誤治療﹐最終導致牙齒不保。牙周治療是牙科治療的基礎﹐牙周病專科醫師是口腔環保工程師﹐有牙周病一定要找專科醫師處理﹐以保持口腔健康、功能、美觀並且長期穩定。


Care-牙周維護

專人口腔衛教指導
  • 牙周治療後﹐紅腫發炎的牙齦消腫﹐恢復健康會出現局部牙齒敏感、齒間縫隙、牙根裸露等情況﹐而正確的口腔衛教是維持牙周穩定的重要關鍵。
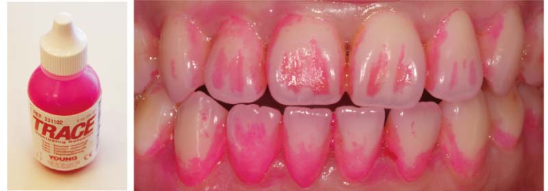
  • 使用牙刷、牙間刷、牙線、單束毛牙刷清潔後﹐塗抹牙菌斑顯示劑檢測是否刷乾淨。
客製化多功能牙拖
1.醫療級高濃度氟膠
  • 控制治療期及治療後牙根敏感的症狀。
  • 防止牙根齲齒。
2.空間維持

避免治療期及重建前過渡期因缺牙導致牙齒位移

3.診斷是否有夜間磨牙的習慣

作為未來是否製作正式咬合板之參考


當代楊新牙醫診所

當代楊新牙醫診所,本網站禁止任何網際網路服務業者擷取或轉載內容。
門診收費明細

聯絡我們