院所感染控制再升級

人工植牙

 

何謂人工植牙

在缺牙處植入生物相容性良好的鈦金屬人工牙根,取代失去的牙根後縫合,經過幾個月後,人工牙根會與骨頭緊密結合,可以承受一般咬合的力量,才在其上方置上假牙牙冠,恢復咬合功能。

不論是剛剛失去,或是已缺牙多年,即使僅一顆牙齒而已,都會體會到也是失去身體重要的一部分。 現今人工植牙是結合醫療技術與現代科技的治療方法之一,也實現賦予我們第三套牙齒。


 
 

缺牙後遺症

缺牙後若一直沒有重建,不緊鄰近的牙齒會向缺牙區傾倒,對咬牙齒也會因此失去對咬而過度長出,除了影響原本正常的咬合,因牙齒排列不整齊,增加清潔的難度,容易引起蛀牙或牙周病;多處缺牙嚴重的話,在外觀上則有可能造成臉部不對稱、凹陷下榻等。


重建牙齒的方式比較

重建方式 人工植牙 傳統牙橋 活動假牙
圖片
治療方式 植入相容性佳的鈦金屬植體
取代失去的牙根
將缺牙處的前後牙齒磨小
以橋墩方式背載,支撐中間的假牙
將自然牙研磨一小部分
透過金屬鉤環用勾靠方式支撐假牙
外觀 美觀似真牙 材質會隨時間長短有所變化 較不美觀,有金屬環
支撐部位 人工牙根 缺牙兩旁的健康牙齒 好的牙齒及牙肉
咬合恢復程度 90~100% 50~80% 10~30%
是否傷害
健康牙齒
須磨去前後的健康牙齒 須磨去少量的健康牙齒
異物感 無,但易塞食物 嚴重
齒槽骨萎縮 不會

人工植牙的好處

  1. 人工植牙不須像傳統假牙破壞相鄰的牙齒,只須在缺牙區置入人工牙根即可。
  2. 不像活動假牙,每天須拿下來清洗且咬合上較無力。
  3. 人工植牙咬合力量接近真牙,可說是因科技進步帶來的第三套牙齒。
  4. 可幫助維持骨頭高度,骨頭較不會因缺牙而導致萎縮與齒槽骨流失。

人工植牙手術流程

術前確認

手術前植牙醫師會透過3D電腦斷層掃描所提供的資訊,再次確認患者骨頭條件與植牙位置。

血液萃取PRF

抽取患者本身的血液萃取成PRF(富含血小板纖維蛋白),可避免因「人工化學合成生長因子」發生的感染問題及「非自體組織排斥效應」導致手術失敗,提升植牙手術的安全性及成功率。

TCI生理監測器

手術同時會搭配TCI生理監測儀器(監控患者手術期間之心電,血氧,血壓及心跳),增加手術過程的安全性。

確認植體位置

植入植體後,再次拍攝3D電腦斷層掃描,確認植體植入位置。

手術後低周波治療

低周波治療器,是將微弱電流以低頻方式在人體開始作用,經由刺激肌肉及肌肉內神經末梢感覺接受器,達到促進局部血液循環,得以減輕或舒緩疼痛,加速傷口癒合。

手術後說明

等患者充足休息完後,專管會與患者講解衛教及術後注意事項,並提供紙本便可返家。


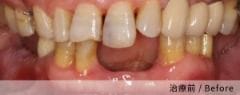
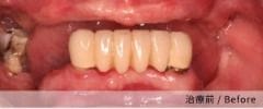
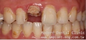
人工植牙真實案例

案例一
案例二

 
案例三

 

當代楊新牙醫診所

當代楊新牙醫診所,本網站禁止任何網際網路服務業者擷取或轉載內容。
門診收費明細

聯絡我們