嚴重牙周病治療: 療程含慢性牙周病/植牙補骨/人工植牙/全瓷冠Dr.葉立維
嚴重牙周病治療推薦: 療程含慢性牙周病/植牙補骨/人工植牙/全瓷冠
Mr. Wang 是一位工程師,因為上顎前面的舊假牙有不美觀以及密合度比較差的問題,其他醫師先幫他拆除舊假牙後更換為臨時假牙,後來被轉診到我這裡評估重建。
牙周病治療經驗:治療計劃需考量清潔維護、療程時間、耐用等各面向
在正式假牙的治療計畫方面,通常會有兩種方案:
- 第一種是 重新製作傳統牙橋,優點是能夠比較快速完成,但是在日後清潔維護方面會比較困難且不便,需要用特殊清潔工具(例如:超級牙線)才能夠清潔得到牙橋下方。並且萬一其中任一顆支柱牙有問題的話,整個牙橋可能就要拆除後再評估重新處理。
- 第二個是 在缺牙處以單獨人工植牙方式重建,這樣最終能夠三顆牙齒獨立而會比較像自然的牙齒。缺點則是由於缺牙時間久遠,骨頭已萎縮,條件比較差。需要補骨後半年再進行植牙手術,多次手術後才能夠完成重建,等待時間也會比較久。
經過討論後,Mr.Wang 考量自己正值青年,願意多花一些時間,達到最佳的結果。因此經討論後以人工植牙修復缺牙,另兩顆牙齒用全瓷牙冠修復,最接近自然的方式重建。
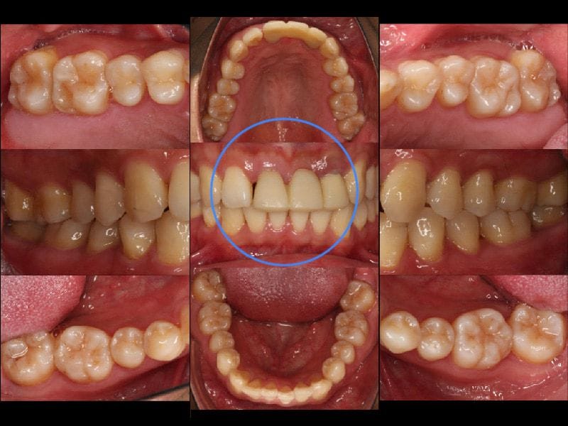
治療前完整口內檢查,其中前牙區已經更換為臨時假牙
治療前 X 光片,假牙尚未拆除
從口內和 X 光片的檢查發現,Mr.Wang 的全口牙周的狀況還算健康,大部分的牙周齒槽骨流失不到 15 %,但是還剩下三顆阻生智齒,右上第二大臼齒的後方也有局部的嚴重牙周病。牙周相關的診斷是:全口輕度、局部嚴重慢性牙周病。
我們先治療控制牙周狀況後,開始進入利用數位電腦斷層掃描的方式,先評估他預計植牙缺牙區,齒槽骨的條件。
從電腦斷層的影像顯示,在預計要植牙的位置,齒槽骨有萎縮現象,骨頭寬度條件不足。我的治療植牙手術相關計畫是分為兩階段。第一是要先以俗稱補骨的『引導骨再生手術』,增加骨量。等待約半年的時間,在進入到第二階段,植入人工牙根。
植牙補骨前電腦斷層檢查,箭頭處顯示骨頭寬度不足
在舒眠鎮靜下執行補骨手術,置放人工骨粉與再生膜,手術順利。在半年後我們依照最佳的假牙設計位置製作手術導板,從再度拍攝的電腦斷層影像我們可以看到,骨量寬度明顯增加。


植牙前補骨手術,置入人工骨粉 補骨後覆蓋再生膜 手術導板可顯示最佳植牙位置,同時模擬未來鄰
牙的牙齒設計與牙齦位置

植牙補骨前電腦斷層影像 配戴手術導板拍攝植牙補骨後的電腦斷層影像,箭頭處顯示骨量有明顯變寬
第二階段植牙手術,我們同時應用牙冠增長術,調整兩顆鄰牙的牙肉和齒槽骨高度,讓每顆牙齒在未來的最終假牙的長度、寬度比例能夠符合黃金比例(1.618:1)。植牙的位置與深度角度是最重要的,放在最好的位置才能使未來的每顆牙齒的相對關係能夠和諧美觀、長久耐用。整個療程也很順利在舒眠鎮靜下的狀態完成。
植牙手術置入人工牙根,右為置入人工牙根後拍攝的X光片,確認人工牙根位置符合治療計畫
植入後等待大約四個月左右,植牙牙根和齒槽骨的骨整合完成,我們就可以開始製作假牙。牙科數位科技的進步,能夠讓我們利用電腦數位口內掃描的方式執行假牙製作流程。並且有很專業的牙技師配合,除了精準、效率,我們也能讓成品更加擬真。

利用數位口腔掃描,快速獲得口內上下顎 3D 模型 數位口掃 3D 模型,連咬合狀態也能清楚呈現
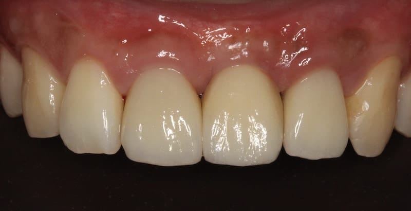
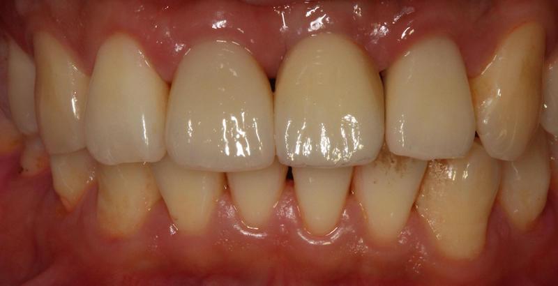
最終,我們以三顆全瓷冠假牙修復完成。我們確實也達到我們所設定的目標:在牙齒的顏色、長度寬度、牙齒之間和牙齦高度的協調性都很高。也相信 Mr.Wang 有了兼具功能、美觀的牙齒,一定更能展現充滿自信的笑容。

完成人工植牙後,與桃園全瓷美學專家沈志容醫師合作,以數位全瓷冠修復三顆前牙 完成的全瓷冠牙套顏色、細節逼真,前牙咬合時幾乎看不出差異
圖示:人工植牙手術前後X光片比較:(左)假牙拆除後,可見缺牙處兩邊的支柱牙結構破壞嚴重;(右)人工植牙手術後,完成全瓷冠假牙
合作醫師:桃園前牙美學專家 – 沈志容醫師
備註:療程效果因個人狀況而有所差異,請諮詢專業醫師為您制定合適的療程。
文章來源出處:葉立維醫師個人網站









