中度牙周病治療: 全口牙周病/牙冠增長術/鼻竇增高術Dr.葉立維
中度牙周病治療推薦: 全口牙周病/牙冠增長術/鼻竇增高術
很多人對於牙科治療是充滿焦慮恐懼的,包含牙科的尖銳器械、聲音、疼痛,甚至是坐在或躺在牙科治療椅的時候就會極度恐慌。
Miss Feng也是很怕看牙,因此即使自己知道牙齒有問題,也會一直拖延到沒辦法忍耐才會看醫生。2015年我幫她看診時,最主要的問題有兩個:第一個是左邊下顎後牙區,很容易塞食物,牙齦常常會不舒服。第二個則是在左邊上顎後方的假牙周圍,牙齦很容易流血。
從口內的檢查和全口的X光片檢查,我們可以發現她以前在右上後牙區有給其他醫師植牙的經驗,但可能還是因為怕看牙,左側就一直沒處理。
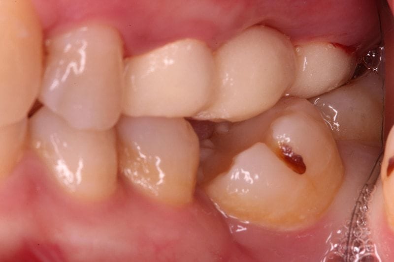
左下區域很早第一大臼齒就缺牙。因為缺牙不補,久了以後齒列空間改變,後面兩顆臼齒往前傾倒,造成吃東西時食物堆積難以清潔的問題。左邊上面後方假牙,時間久遠,密合度已經不佳,這會是清潔的死角,因而造成牙菌斑堆積導致牙齦發炎流血。
圖示:長期缺牙不補導致鄰牙移位與空間喪失,影響咬合更產生食物塞牙縫與牙周問題
全口牙周檢查方面,齒槽骨是有初期流失,只有在主訴區域有比較深的牙周囊袋,屬於全口輕微、局部中度牙周炎。
全口牙周檢查方面,齒槽骨是有初期流失,只有在主訴區域有比較深的牙周囊袋,屬於全口輕微、局部中度牙周炎。
牙周病治療經驗:首重牙周治療與健康,再進行後牙重建
因此,我們建議先拆除左上牙橋,換上臨時假牙後,進入第一階段牙周治療與口腔衛教,這樣能減少醫師治療時的器械限制與死角,利於牙周恢復。(第一階段牙周治療是用葉立維醫師設計的「MAPCare牙周病專科治療方案」,用在牙周病治療有很好的效果!)

圖示:拆除左上舊假牙牙橋 圖示:裝上臨時假牙後將開始進行第一階段牙周病治療
鼻竇增高術/牙冠增長術改善植牙條件、舒眠牙醫手術免除恐懼
牙周治療完成後與開始重建後牙,由於左上區域的骨頭條件方面,高度比較不足,因此建議植牙手術時同時進行「側窗式鼻竇增高術」與補骨。

圖示:側窗式鼻竇增高術,箭頭為人工植牙處和側窗補骨粉處 圖示:補骨粉後覆蓋膠原蛋白再生膜,為牙周組織創造良好的再生復原空間
(上顎後牙區因骨質與骨量關係,植牙成功率一般而言較低。醫師會依照骨頭條件進行「側方開窗術」或「植牙孔處鼻竇增高術」來改善植牙條件。推薦可以參考 鼻竇增高術 – 上顎區植牙補骨法 進一步了解鼻竇增高術和手術後注意事項。)
左下第二大臼齒因為臨床牙齒太短,同次也進行 牙冠增長術,讓未來的假牙不易鬆脫,也能夠提升正式假牙的密合度。
手術是在舒眠麻醉下進行,醫師可以同時把很多療程一次完成,並且能解決患者對牙科恐懼的問題,術後滿意度很高。
長期缺牙不補造成牙齦萎縮,採用游離牙齦移植術增寬牙齦
在左下區域,與患者溝通,建議先做局部矯正,目的是復原第二大臼齒的位置和角度,才能夠使容易塞食物的問題改善。
調整空間後再用植牙修復,口腔清潔會比較容易並且恢復功能正常,這樣得先拔除第三大臼齒,置放矯正骨釘後利用骨頭的力量把第二大臼齒向後扶正,半年左右恢復原本第一大臼齒空間。

圖示:傾倒的鄰牙產生清潔死角,造成牙齦發炎流血 圖示:智齒拔除後放置骨釘矯正第二大臼齒,恢復第一大臼齒空間
空間恢復後,由於長期缺牙造成牙齦萎縮,角化牙齦不足,因此在左下後牙區,我們先執行『游離牙齦移植術』把牙齦增寬。
大約等待六週牙肉穩定後,再同樣以舒眠方式進行左下後牙的植牙手術,這樣能讓患者感到安心且舒適。

圖示:缺牙造成牙齦萎縮,透過游離牙齦移植術補牙肉增寬牙齦,為植牙假牙打下穩固地基
圖示:舒眠植牙手術植入人工牙根
我們等待上顎半年、下顎三個月人工植牙骨整合的時間後,順利地把正式假牙完成。

圖示:植牙完成後裝上正式假牙的X光片 圖示:鼻竇增高術、補骨與植牙手術後,人工植體周圍骨頭狀況穩定
圖示:牙周病治療與手術的前後比較
在完成完整的牙周病治療與相關手術後,Miss Feng分享對葉立維醫師與醫療團隊的心得:
「我是一個非常怕痛也非常怕看牙的人。所以當牙齒有問題時,一定要到忍無可忍的地步才會去看醫生。
當我選擇在當代治療後,讓我能放心的將問題的牙交給他們,當代有最先進的設備、舒適的環境及最體貼的牙醫助理,還有技術好的牙醫,讓我能放心的將治療交給他們。
在術前我可以放輕鬆等待,手術中我可以安心舒適的接受治療;術後又有舒適的恢復室可供休息,親切的牙醫助理又會耐心溫柔的教給我衛教。」 – Miss Feng
牙周病治療經驗:缺牙不補後患多,舒眠牙醫治療免恐懼
人有28顆牙,缺一顆很容易被忽略。但因任何原因拖延或忽視任一顆缺牙,其他牙齒壞的機率會變高。
因為只要有牙齒缺損,所有的牙齒及咬合咀嚼都會受到影響,建議盡快評估修復。因為缺的絕對不只是1/28(成人不包含第三大臼齒共28顆恆牙),缺牙不補條件會變差,其他牙齒也會有危險,拖太久的話更會造成牙齒位置變化及排列改變,也會增加重建的複雜度和困難,時間和預算都會增加。
如果是因為怕看牙,現在有很先進的麻醉技術,舒眠牙醫療程能讓患者能在放鬆的狀態下進行牙科治療,免除看牙的恐懼並且積極處理問題。
Miss Feng目前已經恢復齒列完整,可以放心地享受美食了,但還是建議每天多花幾分鐘做好口腔衛生,定期至牙醫做全口檢查喔!
備註:療程效果因個人狀況而有所差異,請諮詢專業醫師為您制定合適的療程。
文章來源出處:葉立維醫師個人網站








