輕微牙周病治療 全口牙周病/游離牙齦移植術Dr.葉立維


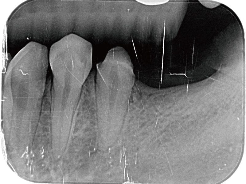
圖示:左下後牙區的假牙和臼齒殘根 圖示:左下後牙區X光片,箭頭處為假牙與臼齒殘根
這可能是因爲是她早期左下的臼齒缺牙,當時在其他診所是用傳統牙橋修復。
傳統牙橋的缺點除了是前後牙齒需要犧牲齒質磨小才能印模製作以外,牙橋底下也會產生清潔死角,導致難做到良好的清潔,很容易發生再蛀牙或是牙周疾病等後遺症,久而久之後面的牙齒蛀斷了成為殘根。
雖然 Miss Sung 這次最主要是來評估左下人工植牙。但在我個人的治療模式,一定會堅持要有牙周病完整的評估與治療順序。從全口的檢查與詳細診斷開始,控制疾病後,才會進入到重建階段。
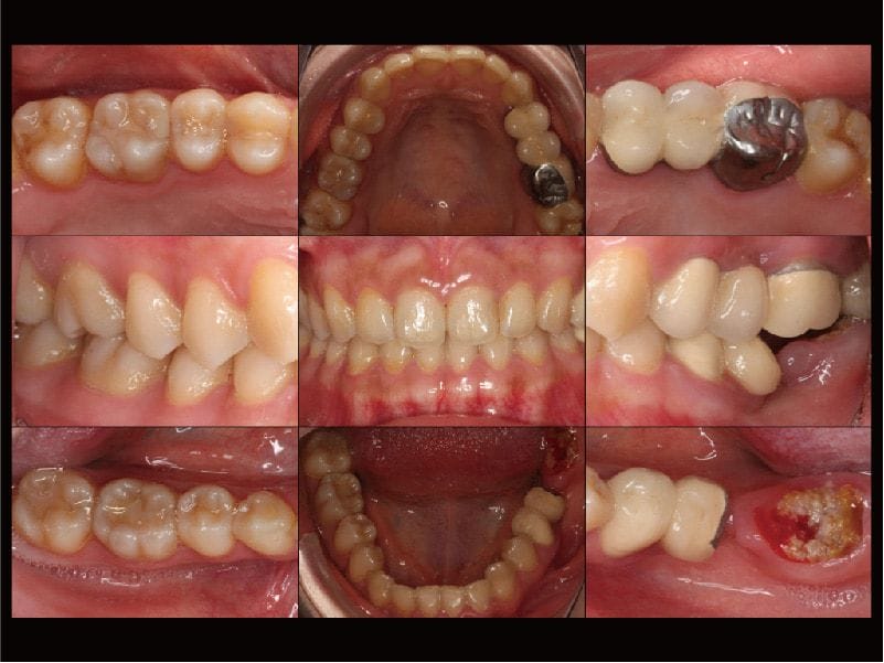
圖示:牙周病治療前,各角度口腔牙齒近照有助於進行更全面、更完整的檢查與診斷
牙周病治療經驗:輕微牙周病初期易輕忽,延誤治療拔牙機率高
Miss Sung 在牙周方面,雖然本身沒有什麼主觀的症狀,但還是有部分區域有比較深的牙周囊袋,與初期的齒槽骨流失。特別在左上後牙區也是有一組密合度已經不甚理想的假牙,容易造成牙菌斑或牙結石的殘留,屬於牙周病風險比較高的區域。
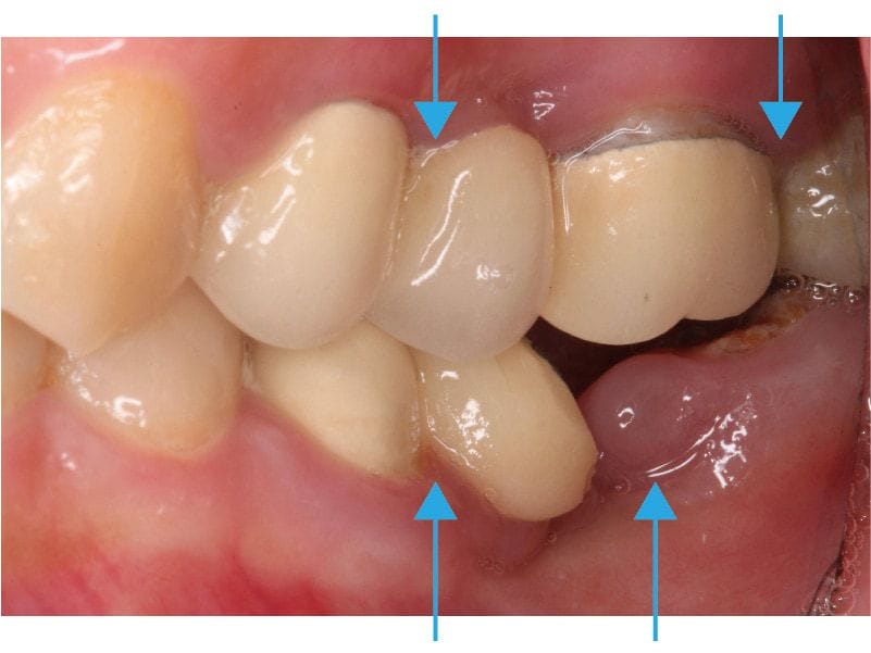
圖示:主訴患處和左上牙橋,都有牙齦發炎紅腫的狀況
在門診當中,患者被檢查出牙周病者不在少數,但因為沒有主觀明顯症狀而延遲治療。確實,暫無症狀或沒有不舒服,是大多數患者的感受,但牙周破壞仍然默默持續進行,因此容易漸漸延遲最佳治療時間及埋下往後牙周崩壞、拔牙機率提高的因子!
Miss Sung 被診斷為全口輕度牙周病,通常經過 第一階段牙周病治療 後,就能有還不錯的效果。另一個我們重視的事情就是在治療期間,一定要關心她口腔衛教改善的狀況,唯有養成良好的口腔居家照顧習慣,才能增加植牙的成功率,這樣才能將未來惱人的『植體周圍炎』的機率降到最低,並且也延長其他自然牙的壽命。

圖示:假牙拆除前的X光片 圖示:假牙拆除前的X光片
牙齦萎縮將影響植牙穩定,游離牙齦移植術補牙肉預防後遺症
為 Miss Sung 拆除舊假牙換上臨時假牙與拔除殘根後,再安排進行 舒眠植牙 手術。過程中我們很順利的置放兩支人工牙根,手術的過程會比較舒適,術後恢復也順利良好。
圖示:舒眠植牙手術過程,順利植入兩支人工牙根
因為 Miss Sung 在這個區域缺牙多年,缺牙產生牙齦萎縮、角化牙齦不足等後遺症。
我在 牙周整形手術 服務頁中有說明若植牙假牙旁邊缺乏角化牙齦,會造成牙菌斑堆積或是局部發炎等問題,因此我們在植牙第二階段執行『游離牙齦移植手術』來增加她的植牙牙肉寬度,這樣牙齦能對以後的植牙假牙起到保護作用,利用牙刷清潔時會比較舒適,才能維持植牙長期的穩定性。
左圖為植牙手術後大約三個月,此時植體還在牙肉底下,照片中紅線區顯示角化牙齦不夠,通常至少寬度要 4mm 以上。
右圖為植體露出換上癒合帽,同時把牙齦補寬,補肉手術增寬牙肉後大約 6-8 週,我們利用數位牙科的技術與特殊植牙的口內掃描套件,就可以有效率且精準地把植牙假牙完成。
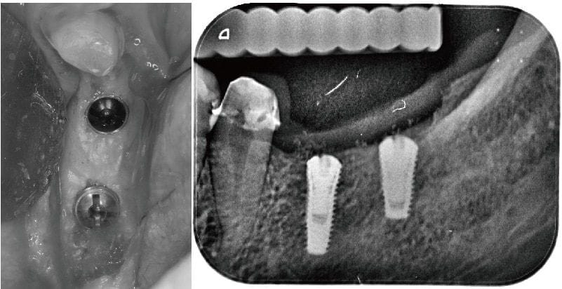
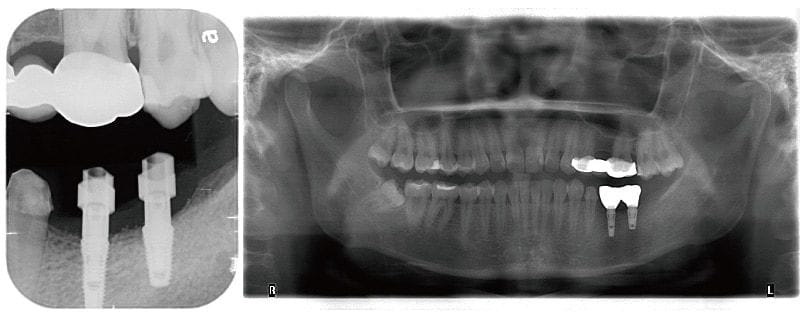
圖示:鎖上數位套件掃描後植牙完成的X光片
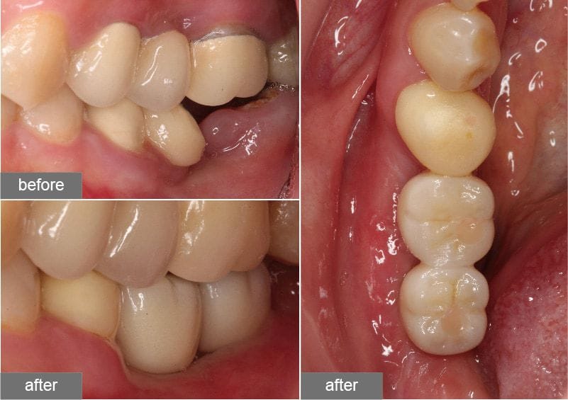
圖示:完整牙周病治療後,進行植牙手術的前後對比照
在完成牙周治療與舒眠植牙手術後,Miss Sung貼心的親手寫下感謝葉立維醫師的感言:
『植牙的整個療程中,葉立維醫師和牙助很細心和耐心的和我講解牙齒狀況,還有專業的技術,讓我很放心地接受植牙。感謝葉立維醫師幫我重建了我的牙齒!』 – Miss Sung
牙周病治療經驗:植牙後遺症可預防,打好基礎勿操之過急
很多醫師標榜的是『立即植牙』或是『快速植牙』,確實,每位牙醫師的治療理念不同,可能會有不同的治療模式。
但經過牙周病專科訓練,在醫學中心也看到不少難以處理的植牙後遺症與併發症,因此我認為植牙要長久耐用,一定不要操之過急,而是要先預知預防以後可能會有的問題,這就是為何我會建議患者一定要做好基礎,控制牙周病與強化口腔衛教與居家維護的主要理由。
圖示:完成舒眠植牙治療的MissSung與葉立維醫師開心合照
備註:療程效果因個人狀況而有所差異,請諮詢專業醫師為您制定合適的療程。
更多 葉立維醫師的牙周病/植牙案例 >>
文章來源出處:葉立維醫師網站點擊了解更多








