牙周病治療推薦: 全口牙周病/全瓷冠假牙/陶瓷貼片/植牙Dr.葉立維
牙周病治療推薦: 療程包含全口牙周病/全瓷冠假牙/陶瓷貼片/植牙
Mrs.Hsieh是我在十多年前治療過的全口牙周病和植牙患者。她最近因爲右下的假牙搖晃,牙齦發炎流血,咬合不舒服,她懷疑自己是不是又有牙周病而來評估。
除了針對她不適的位置做口內檢查以外,我們也替她拍攝了局部X光片和環口全景式X光片。必須先完整檢查收集足夠的資訊,我們才會有正確的診斷及恰當的治療計劃。
圖示:針對Mrs.Hsieh不適部位拍攝的局部X光片
雖然她的症狀跟牙周病有點類似,但我們在局部的X光片可以明顯看到她右下的大臼齒牙根已經明顯有縱向斷裂。通常這樣細菌會累積在裂縫處,造成局部牙齦發炎和齒槽骨破
壞,找出了造成她不舒服的主因。
圖示:由Mrs.Hsieh的全口X光片中,也可看出口內有多顆假牙,且多顆牙齒做過根管治療
從全口的照片也可以發現,她因為蛀牙率很高,早期看牙的經歷很多,口內有將近20顆假牙,並且很多顆牙齒做了根管治療。
她之前有全口中度牙周病,治療過後都有好好地定期維護,因此多年來牙周都能維持穩定且延緩惡化。
因此,這次的治療計畫就比較單純:
- 先拔除斷裂的牙齒後用植牙修復缺牙
- 再用陶瓷貼片/全瓷冠做前牙微矯正
全瓷冠植牙假牙-一體成型可避免瓷裂與染色
在拔牙後三個月我們進行了植牙手術。門診進行大約半個小時就順利完成。術前的照片我們可以看到牙齦上有兩處黑色斑塊,這其實可能和早期使用銀粉填補齲齒,銀粉部分掉進
組織被組織吸附與染色有關(amalgam tatoo)。有時候傳統含金屬的假牙,也可能會造成牙齦的染色。
圖示:人工植牙手術修補缺牙。由左至右依序為:術前 / 置入人工牙根 / 植牙前補骨 / 鎖上癒合帽後縫合
因為植牙的穩定度還不錯,我們鎖上癒合帽後即縫合。這樣的條件我們大約等待兩個半月之後就可以開始製作假牙。
圖示:採人工植牙手術修補缺牙,左為人工牙根置入後,右為鎖上全瓷冠植牙假牙
我在植牙的假牙的材質幾乎都是使用全鋯冠(全瓷冠的一種,以二氧化鋯為材質製成),它的特色是一體成型且不易產生傳統假牙令人困擾的瓷裂問題。
設計是採用螺絲固位,這樣的好處是在未來比較容易再取下調整,同時避免在植牙常見因黏著劑不易徹底清理而引發植體周圍炎。
圖示:全瓷材質的牙冠(全瓷冠/全鋯冠)有一體成型、耐用、少瓷裂的優點
圖示:Mrs.Hsieh的全瓷冠植牙假牙採用螺絲固定設計,白色處為保留的螺絲通道位置
假牙的咬合面我們可以看到白色的暫時材料,就是保留的螺絲通道位置。
全瓷冠/陶瓷貼片-修復蛀牙並有自然齒色
後牙植牙治療完成後,繼續處理Mrs.Hsieh的下顎蛀牙的問題。
在前牙區有鄰接面蛀牙,左下兩顆小臼齒的假牙因二次蛀牙而造成邊緣不密合。我們先處理蛀牙把蛀洞先用樹脂材料填補,此外也拆除舊有的假牙,換上臨時假牙。
此時討論正式假牙的治療方式:
圖示:前牙治療前狀況,有前牙排列不整、鄰接面蛀牙的問題,且假牙邊緣不密合,先拆除換為臨時假牙
口內的問題有:下顎前牙區域排列擁擠、牙齒形態不佳、牙面上有色素沈澱,造成美觀不佳。因爲沒有接受矯正的打算,我們可以利用全瓷貼片能夠修復齲齒和改變牙齒排列的應
用,改善她在下顎前牙區的美觀,經過DSD(Digital Smile Design,數位微笑設計)概念,我們和牙技師分配每顆牙齒的空間,預計把牙齒修改成外觀整齊。
圖示:治療過程中先用臨時材料試戴模擬牙齒排列,方便溝通討論
用臨時材料試戴模擬最終結果,Mrs.Hsieh很喜歡這樣的排列與外型!不過因為預算很高讓她有點捨不得。當時Mr.Hsieh的療程剛好也進行到完成階段,對結果也十分滿意,經過
先生的鼓勵,她也決定要接受治療同時改善美觀。
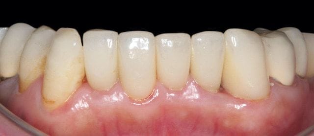
圖示:透過三顆陶瓷貼片與二顆全瓷冠,並選擇自然齒色完成微矯正
最後我們用三顆全瓷貼片和兩顆全瓷牙冠修復,選擇自然的齒色,得到滿意的結果。
圖示:Mrs. Hsieh透過全瓷美學,修正染色/蛀牙/牙齒不整後的笑容
整個療程,我們依照:疾病控制、後牙功能重建、前牙美學修復的順序,一步步朝治療計畫目標邁進。這一直是我們堅持原則,也唯有如此,才能讓治療成果維持長久穩定。
慢性牙周病不可輕忽-老人牙周健康影響全身
根據資料顯示,台灣人的平均壽命已經超過八十歲(2018統計資料),長輩的生活平質,跟口腔健康息息相關!一般而言,三十歲以前常見缺牙原因多與蛀牙相關。但是到了四十歲
以後,因牙周病導致缺牙的比率越來越高。牙齒狀況會反映出身體的狀況。在2017年,中山醫學大學口腔醫學院張育超院長與陳昶愷醫師研究論文使用台灣人的數據,結論指出
10年以上慢性牙周病患者,發生阿茲海默症的風險比沒有牙周病的人高出1.707倍。
從Mr.Hsieh和Mrs.Hsieh的例子來看,『護牙』能夠『護腦』。保有完整的齒列,維持良好的咀嚼能力,對於大腦有回饋作用,防止老化。另外因為口腔細菌會隨血流至全身,也
可能被吸入或吞入。升級自己的刷牙技巧與習慣,能夠降低全身疾病的風險。口腔健康對於長輩的身體健康確實至關重要!
(Mr.Hsieh的牙周治療與牙周美學手術過程,請參考:牙周病治療推薦案例: 牙齦發炎治療/陶瓷貼片/DSD微笑設計)
圖示:謝先生與張女士完整陶瓷貼片、人工植牙、牙周治療後,開心合照
療程效果因個人狀況而有所差異,請諮詢專業醫師為您制定合適的療程。
更多 葉立維醫師的牙周病/植牙案例 >>
參考資料:
『35歲開始, 牙齒決定你的後半生』 – 遠流出版
文章來源出處:葉立維醫師網站(點擊了解更多)











