舒眠植牙治療推薦: 根管治療後植牙/陶瓷貼片療程Dr.葉立維
舒眠植牙治療推薦: 包含根管治療後植牙/陶瓷貼片療程
Mr.Su是從南台灣到桃園求學,學業完成後在科技業工作。在求學過程中因為課業繁忙,沒有不舒服也不曾想到應該至牙醫診所定期檢查,出了社會也忽略,不曾認真正視自己潛在的牙齒問題。
「牙齒痛不是病,痛起來要人命」!
因為右下後方牙痛到受不了,他在週末中午一個可能看不到醫師的時間來當代牙醫求診。臨時掛號本來也是碰碰運氣,不確定能不能做什麼處理,沒想到開啟了另一個可能。
通常我們在初次看診,會針對患者主訴不適的位置優先檢查以外,也會仔細的評估全口有無其他問題。因此我們拍攝了局部疼痛位置的X光片和環口式X光片,才能了解整體的狀況。
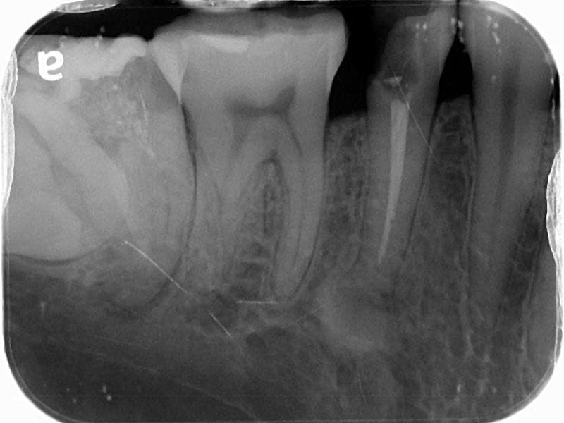
圖示:初步看診時Mr.Su主訴不適位置的X光照,右下第二小臼齒根管治療未修復而導致牙齒斷裂
疼痛的右下第二小臼齒,早年根管治療後因未做完整的修復,牙齒發生斷裂情況;且牙齒的結構不足,導致無法保留,因此建議牙齒拔除。
圖示:療程前Mr.Su前牙美觀區域的環口式X光片與口內檢查對比照
而從口內檢查和環口式的X光片對照,發現Mr.Su蛀牙率很高。
早年因曾有唇顎裂經過修補與全口齒顎矯正治療,上顎兩顆缺牙在矯正後空間都已經關閉。只不過針對前牙美觀區域,除了蛀牙方面的修補,我們認為能夠透過陶瓷貼片和數位牙科的技術,會在視覺上改善,顏色和材料也能長期穩定耐用。
圖示:療程前Mr.Su的前牙美觀區牙齒近照,葉醫師建議以陶瓷貼片改善牙齒顏色、長度等美觀問題
牙科的治療除了處理疼痛和治療疾病以外,對於咬合功能和美觀的恢復才是終極目標。因此我們為Mr.Su制定了這樣的治療計畫:
陶瓷貼片:前牙區經過DSD(digital smile design,數位微笑設計)的概念,依照各人量身設計前牙的長度與外觀,並以陶瓷貼片改善前牙美觀
人工植牙:拔除右下患齒,以人工植牙修復
Mr.Su很久沒有在牙科做定期的檢查,曾經做過的矯正維持器也已多年未配戴。事實上他對牙科治療是很畏懼的,因此雖然他知道牙齒有問題,就一直拖延到不得不面對。我們告訴他不用擔心,在門診治療時我們會很有耐心地協助他,並且在手術相關比較侵入性的治療,我們也有『舒眠牙醫』的技術,可以利用特殊藥物讓他放鬆,對於療程大部分也不會有印象。
陶瓷貼片修補蛀牙缺損,DSD微笑設計打造專屬曲線
前牙美觀區,我們用數位口腔掃描機取得牙齒數位模型檔案,經過牙醫師和牙技師共同設計,在門診先用臨時樹脂材料讓他預先看見前牙陶瓷貼片的形態。
經過這個試戴的流程,他表示這樣的設計很可以,並且我們共同決定正式的陶瓷貼片我們要做得更白一些。
圖示:搭配DSD數位微笑設計製作的臨時樹脂貼片,通過試戴流程可在陶瓷貼片裝戴前達到更精準的溝通
把口內掃描技術整合至臨床流程,除了精準度高,感受也會比較舒適。患者不必忍受令人噁心想吐的傳統印模材,數位化設計與製作更可省去寄件往返的時間,效率與品質都大幅增加。依患者的狀況及需求安排下,甚至能夠做到『一日美齒』- 從口腔掃描、陶瓷貼片/全瓷冠製作、配戴全在一天之內完成。
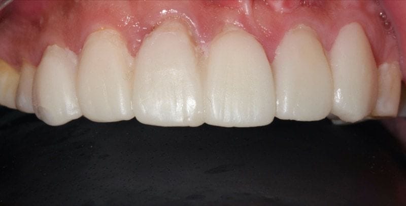
利用陶瓷貼片修復蛀牙或牙齒缺損、改變形態,Mr.Su對美觀改善的成果非常滿意。
圖示:陶瓷貼片完成後的上排前牙近照,通過數位化流程提高效率和品質
舒眠無痛植牙與無印模製作植牙假牙,降低不適與恐懼
在後牙拔牙之後大約三個月,牙肉和齒槽骨的狀況都已經穩定,再與麻醉專科醫師配合,安排『舒眠植牙』療程。
在植牙手術時利用標靶控制輸液(TCI:Target Controlled Infusion)的方式靜脈注射,這樣可以讓患者在淺眠狀態下接受治療。
圖示:舒眠植牙過程需與麻醉專科醫師配合,在術中監控患者生命體徵以降低麻醉風險
舒眠植牙療程必須在術前依照焦慮程度和身體狀況評估,術中配合機器監控血壓、心跳、呼吸、血氧,這樣才能將麻醉的風險降至最低。
通常患者在術後短時間就會恢復清醒,藥物的失憶效果,會讓患者對療程本身不太有印象,對於怕痛的Mr.Su來說,就更能安心放鬆地接受治療。
植牙手術順利且植體穩定度很好,因此以一階段的方式完成,通常這樣大約兩個半月到三個月等待骨整合完成,就可以進入到製作植牙假牙的步驟。
圖示:植牙手術前後示意圖,植入人工牙根,等待骨整合後再進行植牙假牙製作修復
圖示:植牙手術後的X光照,植體穩定度良好
數位牙醫時代,我們採用無印模方式製作人工植牙假牙:用口內數位掃描器分別掃描上下顎齒列以及咬合關係,將數位牙科特殊零件(掃描體:scanbody)鎖入人工牙根後,再掃描它和其他牙齒的相對關係,將這些必要資訊以電子檔案傳給牙技師在電腦上設計,製作和後製完成後即可以安裝。
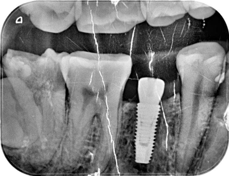
圖示:安裝人工植牙假牙前後的X光照
圖示:完成人工植牙假牙安裝的牙齒近照
整個療程完成之後,在一次約診定期檢查與追蹤時,突然聽到Mr.Su的好消息:在下一個年度,科技公司在南台灣的總部聘雇他服務,對他來說,職務和薪資都是升高,離家也比較近。
整個牙齒做了完善的整理,兼顧功能與美觀,術前術後的比較,明顯可以看到他的自信加分,竟然連運勢都更加順暢了!
來看看Mr.Su在接受治療前後的對比:
圖示:接受全瓷貼片、舒眠植牙療程的Mr.Su術前術後照
想了解更多植牙的相關介紹和手術注意事項?建議可以參考 人工植牙/數位導航植牙 裡面有更詳細的說明。
圖示:療程後的Mr.Su看起來更加自信,與葉立維醫師的滿意合照
備註:療程效果因個人狀況而有所差異,請諮詢專業醫師為您制定合適的療程。












