Mr.Lin最初因為左邊下面臼齒牙齦腫脹前來檢查,通常遇到這樣情況,確實很多人會懷疑自己是不是得了牙周病。經過X光片和牙神經活性檢查,我們發現該牙齒曾有大範圍填補,同時牙神經也無活性反應,其實這顆牙齒同時有牙髓和牙周的問題。
圖示:Mr.Lin左下臼齒牙齦近照與X光片,可看到大範圍填補痕跡和牙隨、牙周問題
牙周病治療前,先透過環口式X光片完整檢查牙齒狀況
通常在初診或是定期檢查時,除了局部不適的位置外,我會做完整口內檢查。此外,「環口式全口X光片」是快速篩檢全口狀況的最佳利器,這樣我們可以紀錄很多需要的資訊,例如:有無蛀牙或牙齒缺損、缺牙區域、牙齒排列、曾經做過假牙或植牙的位置、牙齒位移的狀態、篩檢牙周狀態,以及可能的其他發現。
若是牙齒本身結構問題,依照缺損狀態,常要討論修復方式、根管治療的必要性、嚴重時甚至可能要犧牲拔除患牙等。
圖示:Mr.Lin環口式X光片,診斷為全口牙周病
針對牙周病,從環口式X光片初步檢測出齒槽骨流失的狀況,並配合部分牙齒牙周囊袋的檢測,我們可以由此診斷出Mr.Lin也有全口牙周病需要治療。
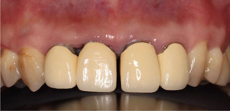
他舊有的門牙假牙,剛製作時並沒有縫隙,而是後來才越來越明顯而影響外觀。其實這在牙周病或是缺牙患者很常見,問題根源在於,因嚴重牙周病會導致牙齒沒有辦法負擔咬合力量,或是臼齒缺牙後未重建而習慣用前牙咀嚼。
若是前牙本身牙周支撐力量不足,甚至還承擔臼齒缺牙的咬合力量時,這樣會使前牙發生咬合傷害(occlusal trauma),產生病理性位移(pathologic migration)現象,這導致門牙產生間隙,並且越來越突出,形成暴牙影響外觀。其實很多人並不清楚這是牙周病的症狀與後遺症之一。
圖示:舊門牙假牙位移產生縫隙,且突出形成暴牙,是典型的牙周病症狀與後遺症
經過完整檢查,醫師和患者彼此才能更了解整體口腔的狀態,整合擬定全口治療計畫。
牙周病治療計畫擬定:先治療牙周問題,再重建前牙美觀
在全口牙周病治療方面,我們做了完整的牙周特別檢查,以達到更精確診斷。一顆牙齒我們通常會測量六個位置的牙周囊袋,才能夠清楚顯示患齒的牙周狀態。
配合測量的深度和X光片上顯示齒槽骨流失的狀況,可以估計整體或單獨牙齒的『預後』,即可能可以維持多久。因為部分區域的齒槽骨已經流失50%以上,診斷為全口中等至嚴重牙周病。
圖示:Mr.Lin診斷為全口中等至嚴重牙周病,需分區治療穩定牙周狀況
進行MAPCare整體複合式牙周第一階段治療,在兩個月左右的時間分區治療,以控制牙周狀況初期穩定,同時也改善患者的口腔衛生習慣。牙周治療就像是先完成了環境大掃除,將來就進入到重建階段。
我們為Mr.Lin建議的療程包含:
- 左下大臼齒同時有牙髓和牙周問題:顯微根管治療後用覆蓋式全瓷嵌體(overlay)修復
- 全口牙周病治療
- 拆除前牙區不密合的假牙並且重建
- 右下缺牙區域因拔牙很久導致牙齦萎縮,先以游離牙齦移植術(Free Gingival Graft)增寬牙齦後再進行人工植牙療程
全數位化精準修復前牙美觀,搭配牙齦手術和植牙恢復牙周咬合
針對前牙美觀區域,在拆除舊假牙之前以DSD(Digital Smile Design)概念設計成品,把電腦輔助設計的修復狀況模擬複製在口內與患者討論。溝通定案後,預計門牙區以四顆全瓷牙冠及兩側犬齒陶瓷貼片修復,並且我們也會預先掃描溝通後的資訊提供給未來牙技師製作時的參考。
圖示:以電腦輔助設計模擬前牙美觀區的修復狀況
拆除假牙並清除蛀牙區域後,再度以數位掃描方式,掃描記錄上顎齒列、下顎齒列與咬合關係,取代傳統印模。在電腦中利用數位虛擬模型上設計與製作修復體。
全數位化流程,兼具精準與效率完成前牙修復。在牙周控制後,利用數位化技術,我們能夠縮短假牙拆除修復的時間,最快大約一天就能夠完成。完成後我會再提供空間維持器,保持治療成果避免牙齒再度發生位移。
前述療程前後大約三個月左右。而剩下的右下缺牙區游離牙齦移植術與植牙療程,預計約半年完成。兩邊後牙都恢復功能,才更能夠確保前牙的牙周與咬合穩定。
牙周病治療無捷徑:全口評估預防風險,積極配合治療才是關鍵
對於疾病切勿置之不理或拖延,拖延會使得治療更為困難。唯有針對問題主因全力改善,才能夠避免症狀反覆或惡化。
確實Mr.Lin也曾詢問過不少專業意見,也很想要跨出治療的步驟,或許當時因還沒有確認怎樣的治療計畫與流程才適合自己,使得他猶豫許久。
其實,全口完整評估檢查和諮詢溝通是我非常重視的,這樣才能夠在原本患者不舒服的位置以外,發現到一些潛在的問題,更能夠預見到未來可能的風險而提早預防,避免頭痛醫頭腳痛醫腳。
而患者的配合也非常重要,整個療程,Mr.Lin都展現了很積極的治療配合度,相信也因為改善前牙美觀,每次門診都能愉悅充滿自信。整個醫療團隊也替他高興。
圖示:牙周病療程前後的Mr.Lin,術後的他恢復自信笑容
圖示:術後的Mr.Lin與葉立維醫師的滿意合照
備註:療程效果因個人狀況而有所差異,請諮詢專業醫師為您制定合適的療程。
文章轉載自葉立維醫師網站
更多 葉立維醫師的牙周病/植牙案例 >>
點選讓您了解更多











