牙冠增長術改善笑齦,全瓷貼片打造「完美微笑曲線」Dr.葉立維

Miss Wu接受全口齒顎矯正治療完成。雖然牙齒已經排列整齊,但牙齒外觀似乎和『美』還有一段差距。
在我幫他評估之前,矯正醫師已經有告知,因爲她上顎左右兩邊側門牙是『釘狀齒』(peg lateral),預計拆除矯正器之後,應要做牙套或是全瓷貼片改善形態,把牙齒的縫隙關閉。
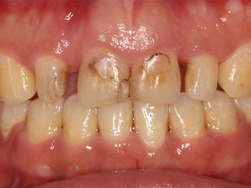
圖示:牙齒形狀過小的「釘狀齒」讓前牙產生明顯縫隙,需用牙套或貼片來關牙縫
圖示:Miss Wu的環口全景X光片,牙齒有蛀牙、補牙變色、牙縫大、比例不佳等問題
笑露牙齦、牙縫大,先以環口全景X光片評估治療計劃
通過口內檢查及環口全景X光片檢查,我們發現她的牙齒和牙齦有這些問題:
1.牙齒蛀牙、補牙變色、外型扁短
Miss Wu的牙齒本身有齲齒、樹脂補牙處有變色和縫隙問題。在門齒寬度和長度的比例方面,因為美觀的門齒寬度和長度比例約為80%,她的大約是60%,所以牙齒普遍看起來都扁扁短短的。
2.牙齦發炎,笑露牙齦影響美觀
除此之外,她的牙齦也有紅腫發炎的狀況。此時利用牙周探針探測檢查,我們發現牙周囊袋普遍比較深,探測時也很容易出血。這是一種牙齒萌發異常(altered passive eruption)的現象,會造成一部份牙冠被牙肉覆蓋住而沒有完整露出來。當牙冠本身被過多牙肉覆蓋,除了美觀問題,也會容易藏污納垢造成牙周健康不易維持。
在外觀方面,通常牙齒本身、牙齦和嘴唇框架位置,會影響微笑曲線與美觀。經過分析後我們發現Miss Wu有『笑齦』(gummy smile)的情況。
很多患者都有類似的問題,會在意外觀卻不知原因為何或是怎麼處理。經過研究統計,在一般人或是牙醫師的眼裡,微笑時若超過4mm以上的牙齦外露,就會顯得不美觀。
(研究論文原文:“Comparing the Perception of Dentists and Lay People to Altered Dental Esthetics” , Journal of Esthetic and Restorative Dentistry, July 2007)
微笑露牙齦原因
其實笑齦依原因可分為很多類型,時常並不是單一因素所致,所以需要完整檢查分析與診斷,有時可能需各領域專業醫師綜合治療。
- 骨骼:若是上顎骨過多(vertical maxillary excess),常需要由口腔外科醫師或整形外科醫師評估執行正顎手術。
- 牙齒的位置:上顎前牙區暴牙或是過度增長,此類型是由齒顎矯正專科醫師來評估調整牙齒位置。
- 嘴唇:上唇過短(short lip)或是活動範圍過大(hypermobile),也常由牙醫師或是整形外科醫師評估治療。
- 牙齒萌發及發育異常與牙周疾病:特色是一部份牙冠被牙肉覆蓋住而沒有完整露出來。牙齒萌發異常的盛行率大約10%,可能是單純牙齦、或是同時具有牙齦與齒槽骨的問題。另外也有一類屬於牙齦過度增生疾病。此時適合由牙周專科醫師來評估執行,治療方面常配合雷射執行牙冠增長術。
因此,Miss Wu的治療計劃,需要同時考量牙周方面與牙齒修復方面。以現在的牙科技術,她適合套用數位微笑設計(digital smile design)概念溝通設計治療計劃。
圖示:治療前Miss-Wu的上排前牙近照
牙冠增長術改善笑露牙齦,搭配全瓷貼片系列療程重建「完美笑容」
DSD數位微笑設計:預見試戴術後笑容
經過口內掃描與咬合記錄,參考牙齒、牙齦的比例與相對關係,並分析嘴唇微笑曲線及臉部外觀。我們和牙技師一同設計牙齒形態後,利用特殊臨時材料暫時放入口內,這樣能讓患者預見、體驗到我們未來成品設計方向。就類似買衣服可以試穿的概念,明確知道自己是否喜歡或適合。
經過這個步驟,Miss Wu馬上就能夠理解我們的建議,我們將先以牙冠增長術使牙齦與齒槽骨修正至符合美觀和生理型態,改善每顆牙齒寬長比,並且牙齦線能和嘴唇協調。待牙齦狀況穩定之後,再以全瓷貼片修復牙齒。
圖示:Miss Wu「試戴」DSD數位微笑設計分析完美比例的齒型
牙冠增長術:牙齦整形,不再笑露牙齦
為了使手術精準度提高,我們製作了手術模板作為牙冠增長術的輔助。手術的範圍將是上顎前牙區域共6顆牙齒。手術中戴上手術模板,我們能夠準確地把牙齦和齒槽骨精修在的計畫的位置。
圖示:使用手術模板輔助「牙冠增長術」,將牙齦精準修復到預計的位置
術前和術後的比較,我們已經改善牙齒的長度並且使牙齦線協調。同時牙齦的顏色也從暗紅色改善更為健康的粉紅色。
通常這類手術後我們可能會追蹤3-6個月左右,待牙肉完全穩定後開始製作前牙的假牙或是全瓷貼片。
全瓷貼片:微創研磨,齒形自然逼真
六顆前牙利用全瓷貼片修復,它針對先天牙齒形態不佳的釘狀齒,能夠有改變形態的效果。材料方面最常使用的是二矽酸鋰(lithium disilicate),它的硬度接近珐瑯質,並且能依照需求選擇適合的顏色或透光度,所以黏著在牙齒後能擬真、自然且看不出人工痕跡。
將牙齒表面保守製備,通常貼片厚度只需要0.3-0.5mm(如果是製備成牙冠通常至少需1.0mm以上)。利用數位口腔掃描機取得牙齒3D數位模型檔案,精準度極高可取代傳統印模。並且和數位牙技師配合,經過數位全瓷設計(CAD:電腦輔助設計)與數位研磨機(CAM:電腦輔助製作)製作出高品質的成品。最終在門診經過牙齒與貼片表面處理後,使用黏著劑把貼片黏著於牙齒。
圖示:六顆全瓷貼片和3D數位模型上的模擬成品
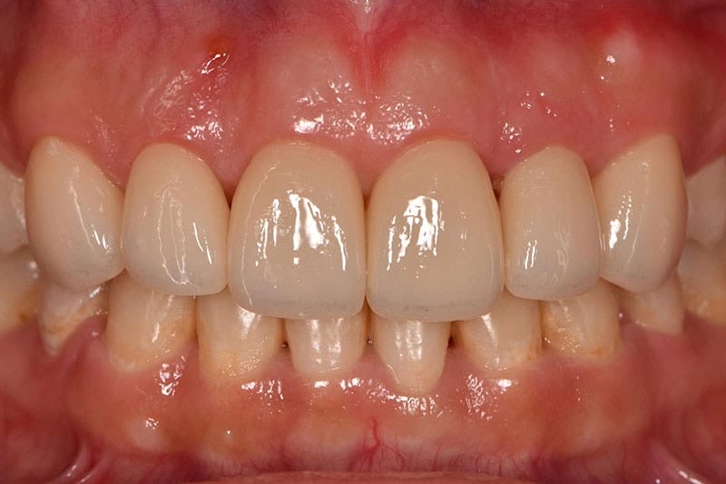
圖示:貼上自然逼真的全瓷貼片,Miss Wu術後上排牙齒照
Miss Wu的療程雖然很長,從矯正療程超過兩年。醫師與技師團隊細心治療與細節堅持,她都能夠信任理解。我們體驗到先進的數位牙科技術與高品質材料的完善配合。最終治療成果,牙齒、牙齦、嘴唇達到完美協調,相信一定是值得的。
圖示:Miss Wu全新升級的前牙美觀區
圖示:牙周美學手術療程後的Miss-Wu,大幅改善前牙美觀
圖示:牙周美學手術療程後的Miss-Wu,全瓷貼片給她更亮麗的笑容
備註:
1.此療程合作醫師 – 林宗佑醫師。
2.療程效果因個人狀況而有所差異,請諮詢專業醫師為您制定合適的療程。
文章轉載自葉立維醫師網站
更多 葉立維醫師的牙周病/植牙案例 >>
點選讓您了解更多











