中度全口牙周病治療,牙周美學手術/陶瓷貼片Dr.葉立維

牙周病治療後十年間狀況穩定,搭配牙周美學手術讓外貌逆齡生長
牙周病因為初期或中期都不太會引起劇烈疼痛,很多人是定期洗牙或檢查時才被醫師發現。有時甚至局部有嚴重牙周破壞也無感,無法接受牙齒可能需要被拔除的命運。
牙周病困擾的地方是,通常醫師頂多是控制病情惡化,而很難讓流失的齒槽骨或萎縮的牙肉自然生長回來。就如同身體其他的慢性疾病無法根治(例如:糖尿病),需要規律的維護以免失控。
初期的牙齦發炎或牙周病,可能僅需要牙結石清除和口腔衛教就可以改善。但是嚴重的牙周病,可能還要做深度清潔或是手術,付出了時間和金錢,效果也不見得高度預期。可見早期發現與治療的重要性。
全口牙周病治療,回診追蹤十年狀況穩定
也有許多患者治療完忽略定期回診。事實上牙周治療後的定期追蹤,和治療本身同樣重要。因為口內細菌還是會累積,每天都會有新的牙菌斑或牙結石產生,若沒有及時清潔,就很容易再度感染而復發。
Mr.Hsieh是我治療的牙周病患者。他曾在其他地方接受下顎正中門齒人工植牙療程。但假牙裝上後,時常容易塞到食物殘渣。不容易清潔維護的情況下,植牙的周圍牙齦不只一次腫脹發炎。我幫他檢查過後,診斷為全口中度牙周病。
因此建議全口牙周治療,並且改善口腔衛教。牙齦狀況在一兩個月內就獲得改善。並且他非常配合定期追蹤回診,十年過去了都不曾間斷。因此多年來全口牙周狀況都能維持穩定,沒有增加缺牙的數目。
圖示:Mr.Hsieh術前環口全景X光片
通常我們在約診牙周病追蹤有三大重點:
- 檢查刷牙是否正確與落實
- 監控在療程之後,牙周狀況是否維持穩定
- 針對口腔衛教死角或刷牙不當的地方,全口或局部再做清潔
全瓷貼片修復牙齒,搭配DSD微笑設計笑起來更顯年輕
而在前年的某次回診,Mr.Hsieh說他的右下植牙旁的牙齒崩了一塊。經口內和局部X光片檢查,其實右下側門牙是根管治療後的牙齒,右下犬齒也曾用傳統樹脂填補過。我當時是建議他可以用數位牙科全瓷貼片的技術把兩顆牙齒修復。因為這樣比傳統假牙需要把整個牙齒修小,貼片的方式僅需修磨0.5mm左右的厚度,能保留更多健康牙齒齒質。
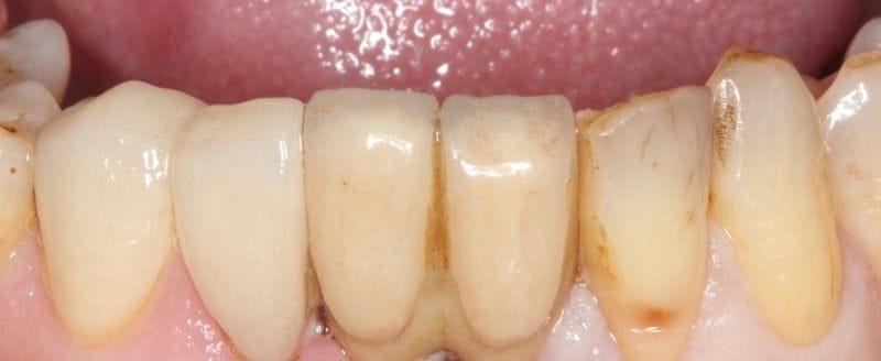
治療前
圖示:治療前Mr.Hsieh的右下側門牙、右下犬齒及口內掃描X光片
治療後
圖示:右下兩顆使用全瓷貼片修復後的牙齒外觀
他對右下兩顆用全瓷修復的成果感到非常美觀且滿意,陸續開始計畫接受左下的側門牙和犬齒的全瓷貼片療程,以及評估上顎前牙美觀區全瓷貼片的條件。
圖示:完成全瓷貼片的左下側門牙和犬齒
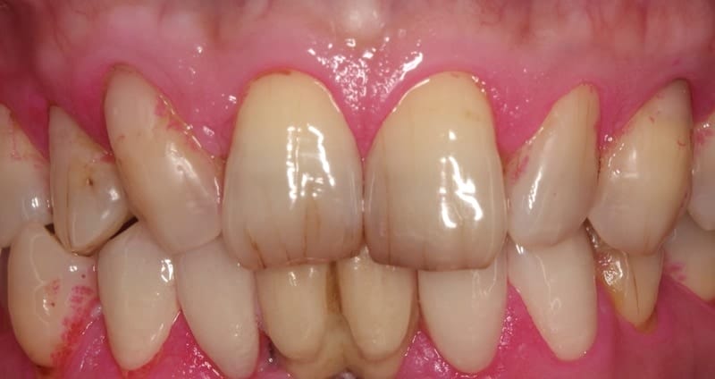
圖示:上顎前牙美觀區全瓷貼片療程前評估
圖示:上顎全瓷修復治療前近照,先天缺右上側門牙,讓犬齒看起來較尖
上顎前牙區,Mr.Hsieh是先天少了一顆右上側門牙,原來的空間因為時間久遠而關閉。右上犬齒佔據了原來側門牙的位置,形態上看起來比較尖,對稱性就會比較差。
我們的治療計畫是利用全瓷貼片能夠改變形態以及改變牙齒排列的優勢,讓犬齒取代原本的側門牙,同時把前牙空間分配,這樣能夠讓他的微笑曲線和牙齒能夠更加協調。
利用DSD(Digital Smile Design)的概念,我們和牙技師將我們設計的概念與想法,轉移到Mr.Hsieh的口內,就好像是買鞋子前可以試穿的概念。經過這樣的溝通方式,他接受我們的治療計畫,不過在牙齒的顏色方面,他選擇要和周圍牙齒顏色接近,希望看起來更為自然。
圖示:試戴貼片進行術前溝通
圖示:術中比色,數位化掃描製作流程讓成品更接近真牙
實際療程中,我們處理了原來牙齒內的齲齒問題(左上犬齒),此外我們可以看到,全瓷貼片的牙齒修磨非常保守,能夠保留大部分的齒質,幾乎維持整顆牙齒的完整性。
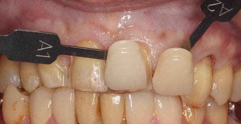
利用比色板放在牙齒旁邊拍照紀錄,我們就能夠提供牙技師需要的顏色資訊,讓成品更能夠擬真自然。經過數位化口內掃描及咬合記錄,牙技師端也採用CAD/CAD的數位流程產出修復體。
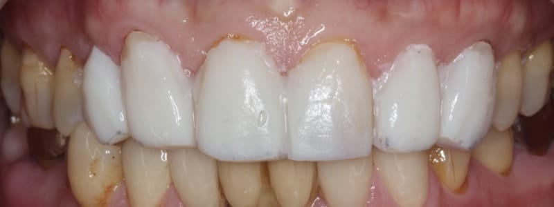
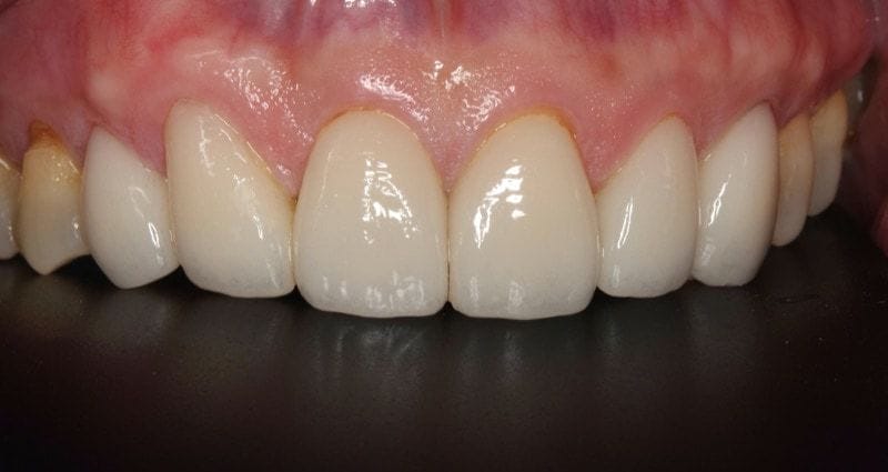
圖示:使用六顆數位全瓷貼片修復完成的牙齒近照,大幅改善前牙美觀
前牙用六顆全瓷貼片黏著修復後,Mr.Hsieh對治療結果滿意度很高。治療前後,從口腔、牙周健康、咀嚼功能穩定到前牙美觀改善。似乎從牙齒的改變,感覺整個人的外貌都顯得逆齡,甚至皺紋還變比較少呢!
圖示:牙周治療前後滿意的Mr.Hsieh
備註:療程效果因個人狀況而有所差異,請諮詢專業醫師為您制定合適的療程。
文章轉載自葉立維醫師網站
更多 葉立維醫師的牙周病/植牙案例 >>
點選讓您了解更多










