院所感染控制再升級

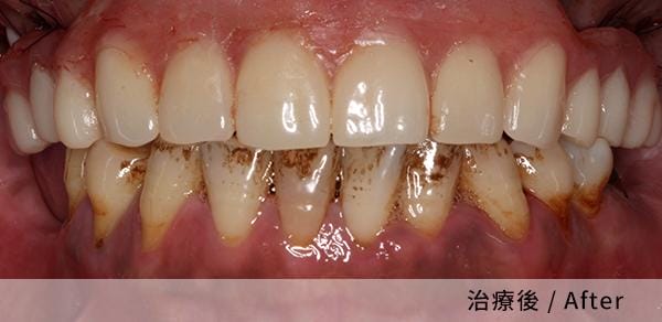
全口重建廖先生 / Dr.梁嘉元

廖先生

主治醫師 - 梁嘉元醫師
治療項目 - All-on-4

牙齒的問題在我的人生中一直是一個不想面對,但又擺脫不了噩夢。經由網際網路搜尋,看到了當代牙科,抱著姑且一試的心情,我走進了當代,在植牙諮詢的過程中讓我見識了當代的完善醫療設施,以及醫療團隊明確的專業分工,更重要的是每一案件均以專案管理的方式實施, 如此建全的醫療體系,讓我很放心的把自己接給當代,交給梁嘉元主任醫師,當然在這個這麼健全、貼心的醫療團隊照顧下,我的牙齒重建手術也順利圓滿,重要的是走進牙科不再是噩夢了。 在此,我想對每一個跟我有相同困擾的朋友說“選擇當代是最明智的選擇”。

 

當代楊新牙醫診所

當代楊新牙醫診所,本網站禁止任何網際網路服務業者擷取或轉載內容。
門診收費明細