院所感染控制再升級

全口重建葉先生 / Dr.梁嘉元

葉先生

主治醫師 - 梁嘉元醫師
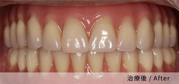
治療項目 - All-on-4

本人因多年前工作需要,必須台灣-大陸兩地往來,因此在牙齒的治療上延誤!

因為當年大陸醫學及醫療環境不好,不敢在大陸看診,所以延誤就醫,造成今日須植牙。早期先作活動假牙來使用,不方便的:每天拆裝久了之後容易鬆脫,約3-5年又要重作乙副活動假牙,在等待時間,生活上、飲食上非常不方便,因為舊的不能使用,沒有生活品質。 
為了一次解決一次性到位,開始上網查、找朋友詢問有關植牙的一些經驗與問題,優點和缺點、費用、診所與使用心得。

查詢狀況,新竹有一家,中壢四家,評比結論:
  1. 費用差不多,約5~10%差異。
  2. 療程從10天到2個月不等。
  3. 模板、植體有國內的、國外的(瑞士)。
  4. 專業解說、設備差異、醫療團隊差異。

最終選擇中壢”當代牙醫診所” 原因如下:
  1. 依照個人客製化及安全作為優先考量,其他診所不是如此
  2. 醫療團隊會診及電腦斷層檢驗,提出就診詳細進度。就算最後不再當代就診,也不收費,但其他家收我三千元而且隔天也未連絡我。
  3. 當代與天晟醫院配合,因為我的血小板低於標準值以下,梁醫師安排至天晟驗血,主設血小板且天晟醫院那邊有護理長陪同門診,其他家要你自己去醫院檢查或說這不要緊可以直接植牙,不一樣的觀念與做法,安全的考量。

治療部分由梁醫師及黃醫師及他們醫療團隊宜路由拔牙、照雷射、電腦斷層、照相、做假牙、試模、排牙、都很有耐心、並依據個人狀況與需求去執行,以客為尊。4/16早上做手術植牙,由下顎先做,9點進入手術室開始到完成大約在12點左右,手術中沒有任何疼痛感覺,就像聊天到睡覺。
手術中有跟梁醫師說一些話,後面沒有太多印象;12點多休息到下午2點半左右,由黃醫師開始做下顎臨行假牙,一直到五點左右完成,沒有任何不舒服的感覺,而且咬合非常順暢有利,回家後吃飯吃東西比起位手術前改善很多,截止今天沒有疼痛、嘴麻、不舒服的現象。


當代楊新牙醫診所

當代楊新牙醫診所,本網站禁止任何網際網路服務業者擷取或轉載內容。
門診收費明細