【有影】植牙補骨、人工植牙、全瓷冠搭配 有系統治好嚴重慢性牙周病

匯流新聞網記者胡照鑫/台北報導
牙周病會造成牙齦腫脹、牙齦出血、咀嚼無力、無法正常咬合、口氣不佳等許多問題。因為上顎前方舊假牙有不美觀以及密合度較差的困擾,一位患者找牙醫師拆除舊假牙後更換為臨時假牙,還是無法解決口腔問題,直到經介紹轉診到桃園當代牙醫診所評估重建計畫。經檢查診斷後先治療牙周問題,再以人工植牙修復缺牙,最後用全瓷牙冠修復,採用最接近自然的方式重建,才重新找回自信笑容。
當代楊新牙醫診所牙周病專科暨植牙專科醫師葉立維表示,從口內和 X 光片檢查發現,患者全口牙周的狀況還算健康,大部分的牙周齒槽骨流失不到 15%,但是還剩下三顆阻生智齒,右上第二大臼齒的後方也有局部的嚴重牙周病。判定為全口輕度、局部嚴重慢性牙周病,先治療控制牙周狀況後。開始進入利用數位電腦斷層掃描的方式,評估預計植牙缺牙區齒槽骨的條件。

葉立維表示,從電腦斷層的影像顯示,患者在預計要植牙的位置,齒槽骨有萎縮現象,骨頭寬度條件不足。因此治療植牙手術相關計畫是分為兩階段。第一是要先以俗稱補骨的「引導骨再生手術」增加骨量,等待約半年的時間,再進入到第二階段植入人工牙根,最終以全瓷冠假牙修復完成。
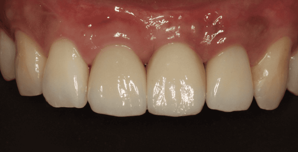
醫師透過舒眠鎮靜療程進行補骨手術,置放人工骨粉與再生膜,半年後從依照最佳的假牙設計位置製作手術導板,經電腦斷層影像看到骨量寬度明顯增加。葉立維表示,植牙手術階段同時應用牙冠增長術,調整兩顆鄰牙的牙肉和齒槽骨高度,讓假牙最終的長度、寬度比例能夠符合黃金比例。
通常假牙治療計畫通常會有兩種方案,醫師指出,第一種是重新製作傳統牙橋,優點是能夠比較快速完成,但是在日後清潔維護方面會比較困難且不便,需要用特殊清潔工具,例如超級牙線才能夠清潔得到牙橋下方,若其中任一顆支柱牙出現有問題,整個牙橋可能就要拆除後再評估重新處理。
第二種是在缺牙處以單獨人工植牙方式重建,最終三顆牙齒能夠獨立而會比較像自然的牙齒。缺點是由於缺牙時間久遠,骨頭已萎縮,條件比較差,需要補骨後半年再進行植牙手術,多次手術後才能夠完成重建,等待時間也會比較久。
醫師與患者仔細討論後,患者考量自己正值青年,願意多花一些時間達到最佳的結果,以最接近自然的方式進行人工植牙重建。
葉立維強調,植牙的位置與深度角度最重要,放在最好的位置,才能讓未來每顆牙齒的相對關係能夠和諧美觀、長久耐用。此位患者植入後等待約四個月,讓植牙牙根和齒槽骨整合完成,就可以開始製作假牙;利用先進牙科電腦數位口內掃描的方式執行假牙製作流程,加上專業牙技師配合,除了精準與效率,也能讓成品更加擬真。
新聞照來源:當代楊新牙醫診所