【有影】假牙縫隙越來越大?小心嚴重牙周病找上門

匯流新聞網記者胡照鑫/台北報導
除了每日刷牙、勤用牙線保持牙齒健康,照鏡子時記得也要觀察一下牙齒狀況。一位門牙裝有假牙的先生觀察到原本沒有縫隙的門牙,竟出現越來越明顯的間隙,再加上感覺左邊下面臼齒牙齦腫脹,諮詢過很多醫師卻沒有得到完整治療,最後赫然發現已經是全口牙周病,經過分階段完整治療才徹底解決困擾。
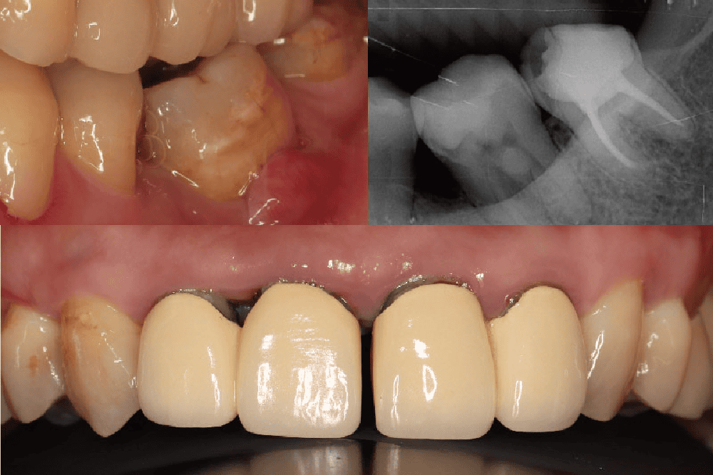
當代楊新牙醫診所牙周病暨植牙專科醫師葉立維表示,經過環口式全口X 光片和牙神經活性檢查後,發現患者左邊下面臼齒曾有大範圍填補,同時牙神經也沒有活性反應,顯示這顆牙齒同時有牙髓和牙周的問題;再加上此區域的齒槽骨已經流失 50%以上,診斷為全口中度至嚴重牙周病,完整檢查與精確診斷後擬定了全口治療計畫。
醫師分享,環口式全口X 光片是牙科快速篩檢全口狀況的最佳設備,可以偵測到有無蛀牙或牙齒缺損、缺牙區域、牙齒排列、曾經做過假牙或植牙的位置、牙齒位移的狀態、牙周狀 態,以及其他的口內問題。像這位先生舊有的門牙假牙剛製作時並沒有縫隙,後來才越來越明顯而影響外觀,在牙周病或是缺牙患者很常見。這是因為嚴重牙周病會導致牙齒沒有辦法負擔咬合力量,或是臼齒缺牙後未重建,習慣用前牙咀嚼所造成。葉立維指出,若是前牙本身因牙周流失導致支撐力量不足,甚至還承擔臼齒缺牙的咬合力量時,這樣會使前牙發生咬合傷害,產生病理性位移現象,將造成門牙產生間隙且越來越突 出,最後形成暴牙而影響外觀,很多人並不清楚這是牙周病的症狀與後遺症之一;透過全口牙周病治療與完整牙周特別檢查,一顆牙齒通常會測量六個位置的牙周囊袋,才能夠清楚反映患齒的牙周狀態。
經過牙周特別檢查,加上測量囊袋深度和 X 光片上顯示齒槽骨流失的狀況,可以估計整體或單獨牙齒的預後。醫師表示,患者的治療計畫包括顯微根管治療後,用覆蓋式全瓷嵌體修復左下大臼齒的牙髓和牙周問題、全口牙周病治療、拆除前牙區不密合的假牙並且重建,同時針對右下缺牙區域因拔牙很久導致牙齦萎縮,先以游離牙齦移植術增寬牙齦後,再進行人工植牙療程。
透過醫師專業全口完整評估檢查和諮詢溝通,才能在原本牙齒不舒服的位置以外,發現到潛在問題,預見到未來可能的風險而提早預防。葉立維提醒,對於牙齒問題千萬不要置之不 理,拖延會造成治療更為困難。唯有針對問題主因全力改善,才能避免症狀反覆或惡化。
新聞照來源:當代楊新牙醫診所