【有影】牙酸痛牙周病別輕忽 全瓷冠假牙救門面
匯流新聞網記者胡照鑫/台北報導
不少民眾不知道要每半年定期到牙醫診所洗牙、檢查牙齒、牙齦健康狀況,以致於感到牙酸痛、牙齦腫脹才掛號就診,此時可能已經有嚴重蛀牙、牙周病,或甚至牙齦萎縮等症狀。
當代牙醫醫療體系當代楊新牙醫診所醫師葉立維是牙周專科及植牙專科醫師,牙周病治療經驗豐富。他提到,門診時除了牙周病患者之外,也很常遇到患者覺得牙齒酸痛而來檢查。他分析,造成牙齒酸痛的原因除了蛀牙外,很常見到的是「敏感性牙齒」或「牙本質敏感」。特色是當牙齒遇到溫度變化、酸性食物、甜食、刷牙、吹風或局部滲透壓改變時,就會產生酸痛不適感,主要是牙本質外露或牙根外露所造成。
葉立維分享一個案例,多年前首次幫因為牙齒酸痛敏感很不舒服的一名患者檢查,從口內和X光片的檢查發現蛀牙率很高。患者過往經驗是很怕看牙過程中的酸痛不適感,所以即使左上的臼齒已經蛀斷只剩殘根,仍然拖到不得不處理才面對。
除了很多蛀牙,牙齦萎縮造成牙根外露,可能都是造成牙齒敏感酸痛的原因。除了診斷齲齒蛀牙以外,也使用牙周探針配合X光片,特別檢查患者的牙周狀況是否有潛在風險。診斷結果是全口輕微牙周炎,因此改善牙齒酸痛敏感症狀,也施以定期半年牙結石清除並且改善口腔衛教,患者順利地完成牙周維護。
後續進行蛀牙跟門牙根管治療的療程,將缺牙、蛀牙修復,針對左邊上面後牙的斷根拔除後,她選擇用傳統牙橋修復恢復功能。左邊下顎的第一大臼齒蛀牙之前採用銀粉填補,邊緣二次蛀牙,這次清除後改用 3D 齒雕完整修復。
葉立維耐心地把齲齒一顆顆治療或填補,也漸漸恢復患者對牙科治療的信心。他特別提醒,牙科治療時間通常比較長,約診次數也多,如果半途而廢,或者自覺狀況稍有好轉或其它因素,就放任不管剩下的問題。這樣反而會讓原本來幾次就能解決的小問題變得越來越嚴重,一定要按時、定期回診。
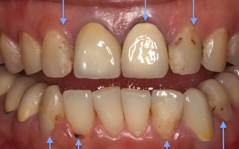
五年後,患者的兩邊側門牙蛀牙範圍變大,右側門牙根部底端有發炎與齒槽骨破壞的情況,因為蛀牙蛀到神經,神經發炎壞死後感染蔓延到根尖所導致。上面四顆門牙經根管治療後,葉立維採用全瓷冠修復,患者對治療的結果非常滿意,半年後又在兩邊的犬齒和第一小臼齒也裝了陶瓷貼片,使得顏色更加一致。
若是使用複合樹脂或是傳統假牙來修復齲齒,由於樹脂不論是強度、顏色穩定性或是邊緣密合度都欠佳,多年後會明顯看到脫落、邊緣變色或是二次蛀牙的情況。這也是患者下定決心要做全面改善,改用全瓷牙冠與陶瓷貼片,接受更高品質的醫療的原因。而這過程中,使用的是當代牙醫診所最新的DSD數位微笑設計幫她進行整個療程。
葉立維說明,使用數位牙科技術,可以快速完成全瓷冠假牙的療程,這次修復療程,善用了診所內各項先進的數位化牙科設備,從建模、設計到製作均採數位化的方式進行牙科治療流程。包括數位口腔掃描、數位全瓷設計、數位研磨機、設計完成的檔案直接輸出到數位研磨機製作修復體。他強調,以上的設備與技術都需要有具備專業證照的認證的專業團隊才能操作掌握。

