院所感染控制再升級

【有影】全口牙周治療+定期追蹤揮別復發 搭配全瓷貼片重現微笑曲線

匯流新聞網記者胡照鑫/台北報導

牙周病初期或中期都不太會引起劇烈疼痛,有時甚至局部有嚴重牙周破壞也無感,有些人因為洗牙或接受治療時才發現有牙周病,無法接受牙齒可能需要被拔除的命運。牙醫師指出,初期的牙齦發炎或牙周病,可能僅需要牙結石清除和口腔衛教就能改善,但嚴重牙周病可能要進行深度清潔或是牙周病手術,凸顯早期發現與治療的重要性。

當代牙醫醫療體系當代楊新牙醫診所葉立維醫師表示,牙周病治療最困擾之處是通常醫師頂多控制病情惡化,很難讓流失的齒槽骨或萎縮的牙肉自然生長回來。就如同糖尿病等慢性疾病無法根治,需要規律的維護以免失控。

葉立維提醒,牙周治療後的定期追蹤,和治療本身同樣重要。許多患者治療完忽略定期回診,因為口內細菌還是會累積,每天都會有新的牙菌斑或牙結石產生,若沒有及時清潔,就很容易再度感染而復發。

醫師分享一名牙周病患者的案例,他曾在其他地方接受下顎正中門齒人工植牙療程。但假牙裝上後,時常容易塞到食物殘渣,在不容易清潔維護的情況下,植牙的周圍牙齦不只一次腫脹發炎。檢查過後診斷為全口中度牙周病,因此建議全口牙周治療,並且改善口腔衛教,牙齦發炎狀況在一兩個月內就獲得改善。

由於患者非常配合定期追蹤回診,十年過去了都不曾間斷,因此多年來全口牙周狀況都能維持穩定,沒有再增加缺牙的數目。葉立維表示,約診牙周病追蹤有三大重點,包括檢查刷牙是否正確與落實、監控在療程之後,牙周狀況是否維持穩定,以及針對口腔衛教死角或刷牙不當的地方,全口或局部再做清潔。

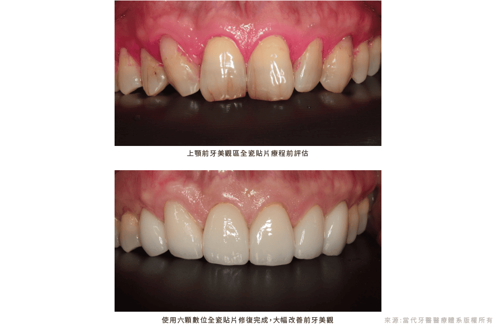
前年的某次回診,患者表示植牙旁的牙齒崩了一塊,檢查發現右下側門牙是根管治療後的牙齒,右下犬齒也曾用傳統樹脂填補過。建議可以用數位牙科加上全瓷美學的陶瓷貼片技術把兩顆牙齒修復,相對於傳統假牙需要把整個牙齒修小,貼片的方式僅需修磨 0.5 mm 左右的厚度,能保留更多健康牙齒齒質。

葉立維表示,這名病患先天少了一顆右上側門牙,原來的空間因為時間久遠而關閉,對稱性就比較差。治療計畫利用陶瓷貼片能夠改變形態以及改變牙齒排列的優勢,讓犬齒取代原本的側門牙,同時把前牙空間分配,這樣能夠讓他的微笑曲線和牙齒能夠更加協調。


透過 DSD(Digital Smile Design) 概念,醫師和牙技師將設計的概念與想法,轉移到病患口內,讓患者感受未來的齒色、形態、排列。溝通定案決定以六顆全瓷貼片修復,患者對最終治療結果極為滿意。

葉立維表示,完整的全口牙周治療,治療前後,從口腔、牙周健康、咀嚼功能穩定到前牙美觀改善。患者可從牙齒的改變,感覺整個人連外貌都顯得逆齡。提醒大家,療程效果因個人狀況而有所差異,需要請諮詢專業醫師制定合適的療程。


【文章轉載出處:匯流新聞網
【原文來源:葉立維醫師

當代楊新牙醫診所

當代楊新牙醫診所,本網站禁止任何網際網路服務業者擷取或轉載內容。
門診收費明細

聯絡我們