【牙科小學堂】嚴重牙周病的症狀與治療程序 — 嚴重牙周病的後果是什麼?
嚴重牙周病的症狀與治療程序 — 嚴重牙周病的後果是什麼?
『嚴重牙周病』是全球盛行率第六高的疾病,身為牙周病專科醫師,我時常在診間被詢問到『醫師,我的牙周病有多嚴重?』或是『醫師,您診斷到我有嚴重牙周病,但我怎麼都沒什麼感覺呢?』有些患者在網路或ptt等論壇上搜尋牙周病治療的相關資訊時,常常看到一些不完整的資訊,甚至有錯誤的認知。
因此,這篇文章我們就從醫師的角度介紹『嚴重牙周病』有哪些症狀?嚴重牙周病的後果是什麼?牙周專科醫師是如何診斷嚴重牙周病、以及嚴重牙周病的治療程序和一般牙周病有何不同,當然也要跟大家說明嚴重牙周病的治療有什麼限制,並分享一些新竹、桃園中壢的牙周病治療案例。
在台灣,依衛福部國民健康署調查,有約九成國人罹患不等程度的牙周病,並且在健保支出方面,牙齦炎和牙周疾病方面的治療一直是在前幾名。
而在2014年全世界規模的研究顯示,嚴重牙周病的患病率約有11.2%,也就是說影響了七億多人,更是全球盛行率第六高的疾病!而且嚴重牙周病好發年齡平均約是38歲左右。
(資料來源:”Severe periodontitis: Sixth most prevalent health condition in the world“。研究論文引用:”Global Burden of Severe Periodontitis in 1990-2010: A Systematic Review and Meta-regression,” Journal of Dental Research, Sep. 2014. )
在介紹嚴重牙周病之前,許多病友想知道嚴重牙周病的後果是什麼?嚴重牙周病要不要拔牙?我先簡單回答,嚴重牙周病的後果的確是可能得面臨拔牙。因為中度或是嚴重牙周病的患者牙周破壞程度嚴重,牙齒明顯搖晃,咀嚼功能漸漸受損,後續在治療嚴重牙周病時可能需要拔牙,再製作假牙或是接受人工植牙療程。
不過,先別緊張,並非所有嚴重牙周病患者都得拔牙,後面我在嚴重牙周病拔牙的部份有詳細說明,也有跟大家分享治療嚴重牙周病不用拔牙的案例(看案例的故事會發現醫師的臨床經驗或理念可能導致不同的牙周病治療方式,拔牙不拔牙命運大不同)。除了拔牙外,醫學上發現嚴重牙周病也有可能引發其他疾病,相關臨床經驗及報導請參考我們整理的文章:「牙周病莫輕忽,不及早治療恐影響全身健康」。所以,如果有牙周病症狀,真的建議大家早點找牙周專科醫師治療,我們一起努力。
嚴重牙周病
嚴重牙周病的判斷目前是依據2017年美國牙周病學會的定義,牙周專科醫師在收集牙周及口腔的數據之後,我們會考慮很多牙周病的症狀及面向來診斷牙周病嚴重程度。例如:
- 牙周與齒槽骨狀態:牙周組織和X光片檢查觀察到的齒槽骨流失情況,當然是流失越多,代表牙周病越嚴重
- 缺牙數目
- 局部特殊因素:例如牙齒的牙根天生形態、牙根分岔、齒槽骨破壞的型態、牙齒動搖程度、牙齒移位或是咀嚼功能受損及其他。
- 口內牙周破壞範圍:口內遭受牙周破壞的牙齒顆數和範圍比例,如果超過八顆牙齒(或全口30%以上)有牙周病,就會判定為全口牙周病。
依照檢查結果,我們會分類出患者是在牙周病的哪一階段(如下表,牙周病可分為四個階段)。通常我在門診建議要接受牙周病治療的患者,已是全口牙周病或是局部牙周病的第三期(嚴重牙周病)及第四期(非常嚴重的牙周病)的階段。
圖示:牙周病嚴重程度分期表
不同的牙周病階段,治療方式也會有差異,文章後面,我有分享嚴重牙周病的治療方式跟幾個案例供大家參考,另外我們也陸續整理一些牙周病或植牙的治療案例放在”牙周病/植牙推薦案例” 。
依牙周病進展速度分級
除了牙周病的嚴重程度可以分階段,牙周病所造成的破壞,也有快速或緩慢,具有動態連續性的特色。
如下面的表格所示,我們會參考齒槽骨流失的速度、患者的年齡、牙菌斑或牙結石累積的情況,把牙周惡化的速度分成三級。
醫師和患者的共同目標就是藉由牙周病的治療和改善口腔衛教,定期回診監控,讓牙周破壞的速度獲得控制或是減緩牙周病的惡化速度。
圖示:牙周病惡化速度分級表
加速牙周病嚴重程度的危險因素
特別值得注意的是,有兩個危險因子直接被判定會讓牙周病破壞速度加快!分別是抽煙和糖尿病:
抽煙
- 會造成血管收縮,免疫能力變弱。
- 唾液分泌抑制,減少唾液清潔的作用。比較容易產生牙垢和牙結石。
研究報告也顯示,吸菸者比不吸煙者得牙周病的機率約高2.6~6倍,並且有高達4.7倍的機率有嚴重齒槽骨破壞,更影響牙周病治療效果與傷口癒合速度。
因此菸抽得越多(超過一天10支以上),會加快牙周病進展,就容易提早失去牙齒。
糖尿病
糖尿病患者的牙周修復與傷口癒合能力比較差,高血糖狀態會造成全身發炎問題(包含牙周炎),罹患牙周病的風險是一般人的三倍之多!因此曾有糖尿病史的患者在嚴重牙周病進展速度也會加快。
若是糖尿病控制不佳者(糖化血紅素值大於7.0),會造成嚴重牙周病更難治療與控制外,日後的重建與維護更是面臨到更嚴峻的考驗。
影響牙周病的危險因子除了抽煙與糖尿病外,生活習慣與其他慢性疾病都有可能加重牙周病的的嚴重程度,詳細的說明請參考「你該知道的牙周病原因、症狀與治療注意事項」。
嚴重牙周病治療程序
嚴重牙周病的治療,其實與一般牙周病的治療程序是類似的。以我的觀點來看,都會先從『第一階段:牙周病基本治療』開始(牙周病治療程序及費用請參考“MAPCare 牙周病治療方案”),我們會盡量地藉由去除牙菌斑與牙結石來達到『消除發炎』與『降低牙周囊袋』的目標。
大部分的牙周病都能夠藉由這階段的療程獲得一定程度的改善,有70%以上的牙周病患者會獲得初期穩定的控制效果。
在第一階段治療後的追蹤時,嚴重牙周病患者通常有比較高的比率會有更多殘存的『牙周囊袋』問題。牙周囊袋深處是患者在居家自我清潔時無法清得到的,這個細微的環境深處因沒有氧氣,會使厭氧的牙周病菌越來越多。
身體為了抵抗入侵,白血球會聚集產生發炎反應,『破骨細胞』(osteoclast)數量和活動力也會增加,使得齒槽骨遭到破壞與吸收,產生的空洞會由纖維或是肉芽組織填入,嚴重時有可能化膿。這將會是牙周病破壞速度比較快的位置!
圖示:需要治療的牙周囊袋,探測深度已達5mm
針對第一階段牙周病治療後狀況不佳的牙周患齒,我們要治療嚴重牙周病,進一步要對付的就是牙周囊袋。會有殘存的牙周囊袋,可能跟牙齒構造、齒槽骨凹凸不平、軟組織形態異常,或其他因素有關。
牙周專科醫師可能就會建議患者接受『第二階段:牙周病手術治療』,藉由牙周翻瓣手術,改善視野加強清創、修補被牙周病侵犯破壞的齒槽骨、牙周再生,以及利用 游離牙齦移植術 或 牙根覆蓋術 治療牙齦萎縮。改正上述因素之後,達到降低牙周囊袋的目標。
圖示:需要以牙周手術治療的牙周環境
嚴重牙周病治療的費用
這裡順便簡單回答患者常問的牙周病治療費用,一般而言,牙周病治療的費用可分為健保給付跟自費二種,收費也是階段性依每個人的療程而異,我在牙周病治療方案的 牙周病治療費用 有簡單說明。
來桃園找我治療牙周病的患者大概知道,我們治療牙周病的費用跟台大醫院等國立醫院的牙周病專科的價格差不多。患者來到診間做完牙周病檢查跟諮詢後,我們會依據患者的狀況提供相對應的牙周病治療程序,並說明相關的治療費用。
牙周病治療的費用跟每個人的牙周病嚴重程度,以及每位醫師設計的治療程序相關。所以,在網路或ptt上看到牙周病治療費用很便宜,可能是病況單純,基本的牙周病治療就能治好,又符合健保,不太需要自費項目,那治療費用自然就低。
所以牙周病這種因嚴重程度而異的客制化療程,真的建議找有經驗的牙周病專科醫師檢查過牙齒狀況,溝通討論牙周病治療的方式後,再確認牙周病治療的費用會比較準確!
牙周病醫師的經驗會影響療程設計跟品質,以我自身經驗來看,現在的我相比十幾年前牙周病治療經驗還不夠豐富時的我,身經百戰、經驗豐富的牙周病專科醫師在診斷上會更全面,也通常能省去不必要的治療,看的更長遠(預知牙齒可能的未來?!),相對精準地設計出有效且成功率高的牙周病治療計畫,並如預期般的執行,達成治療目標。
嚴重牙周病一定要拔牙嗎?
另外,嚴重牙周病的患者常會問到『醫師,我的牙齒能留多久?』在醫療上,這個就是『預後』的概念。
以我多年治療嚴重牙周病的臨床經驗,再加上參考長期追蹤的牙周病研究報告:通常在骨頭已經流失一半以上的嚴重牙周病的患者,在臼齒又有侵犯到牙根分岔的地方,或是搖晃程度很高的無救牙,要保留牙齒就會非常困難,我們或許會和患者溝通是不是考慮拔牙後評估重建。
事實上在國外有針對牙周治療後的牙齒做長達20年左右的長期追蹤,研究中的患者是能夠被追蹤到10-20年,大約有三分之一到一半比率侵犯到牙根分岔的臼齒會被拔除或脫落。(很哀傷~ 但這就是前面一開始說的,嚴重牙周病的後果可能得拔牙。BUT~~ 這裡我會很小心評估啦! 在我的理念裡,救一顆是一顆,治療嚴重牙周病時免拔牙是最好的! )
對於嚴重牙周病的牙齒要不要拔牙,以及能保留多久,我的解讀是:
1.及時治療牙周病:
如果牙周病症狀尚未嚴重到牙根分岔或是動搖度過高,儘早治療牙周病並且按時回診,針對牙周病的牙齒,是有潛力保留到20年喔!
2.定期追蹤:
牙周治療後的定期追蹤是最重要的事情!也就是所謂的『牙周維持期治療』。研究中的患者追蹤回診的配合度佳,但如果沒有好好地按時回診,耐心做好自身的口腔衛教,牙周病是會復發的!如此一來牙齒拔除或脫落的比率一定更高,甚至可能造成更嚴重的 牙周病併發症。(延伸閱讀:牙周病莫輕忽,不及早治療恐影響全身健康!)
研究論文原文:
1. “A Long-Term Survey of Tooth Loss in 600 Treated Periodontal Patients,” J Periodontol, May. 1978.
2. “Tooth Loss in 100 Treated Patients With Periodontal Disease. A Long-Term Study,” J Periodontol, Sep. 1982.
3. ”Effect of Periodontal Therapy on Patients Maintained for 15 Years or Longer. A Retrospective Study,” J Periodontol, Jun. 1986.
基於以上文獻的理論基礎,我認爲牙齒其實有潛力維持很久,甚至超過人工植牙的壽命!因此身為一個牙周專科醫師,我執著自身的牙周病治療理念,在與患者攜手合作下,守護並珍惜每一顆牙齒。後面我分享的第三個案例:全口嚴重牙周病不拔牙治療,就成功的保存了許多牙齒。(嚴重牙周病還是有機會不拔牙治療的,一起努力吧!! ???? )
嚴重牙周病治療推薦案例
在我的牙周門診中,大概10個來諮詢的牙周病患者中會有7個表示,不覺得有疼痛、咬合無力,頂多是牙齦流血發炎等問題,因此很容易讓人忽略以為牙周病其實沒多嚴重。
但是病況其實一直在隨時間悄悄累積,由於這樣的輕忽,可能會失去最佳治療牙周病時機。這部分就必須依靠牙周病專科醫師本身的經驗與專業判斷,才能給序最適切的治療建議。
下面我分享幾個中度與嚴重牙周病的治療案例,這些案例不乏一般牙醫因經驗不足僅針對缺牙位置治療,而忽略了牙周惡化與齒槽骨流失。(有不少這種相似案例來桃園找我,因為 牙周病治療經驗 對治療結果影響很大,所以才會推薦大家找有經驗的牙周病專科醫師)
全口中度,局部嚴重牙周病治療(案例一)
四十歲左右的患者Mr.Lin 因為牙齦腫脹而從新竹跑到桃園來找我評估是否得了牙周病。
其實他曾經因為缺牙問題諮詢過很多牙醫師,大部分醫師都純粹針對局部缺牙問題討論,但卻忽略了牙周病的症狀其實已經出現,包含齒槽骨流失比例、全口牙周囊袋位置許多已經大於5mm以上。
圖示:Mr.Lin左下臼齒牙齦近照,這顆牙齒同時有牙髓和牙周的問題
經過完整牙周病檢查後我們發現,全口牙周囊袋很多位置已經有5mm以上,齒槽骨平均流失大約30%,但有局部超過50%,並有缺牙五顆。值得注意的是,上方門牙假牙之間有縫隙,這其實是因為後牙缺牙造成『咬合崩壞』,合併牙周病牙齒鬆動,而產生牙齒位移的現象(病理性位移)。
由上述的嚴重牙周病診斷定義,判定是全口中度,局部嚴重牙周病(第四期)。
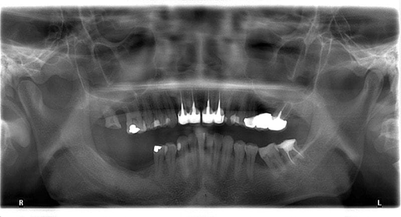
圖示:牙周病治療前,先以環口式X光片來完整檢查Mr.Lin的牙齒狀況
圖示:完整記錄Mr.Lin口腔牙齒、牙齦狀況的牙周檢查表
圖示:因後牙缺牙,造成Mr.Lin前牙假牙產生病理性位移
像此類型的患者,以我的觀點都會先以牙周病治療為優先,先把牙周病控制穩定之後再解決牙齒功能或美觀問題。
經過充分的說明與溝通牙周病治療程序後,Mr.Lin在桃園當代牙醫診所開始進行第一階段牙周病治療,療程大約一個月,接著將前牙拆除重做,以全瓷牙冠修復。(這方面因為有數位化牙科輔助,一週內可以完成)
臼齒植牙重建,則大約需要三個月左右等待骨整合的時間。
假牙療程中與療程後,都要持續追蹤牙周維護的狀況,未來要特別注意兩顆被牙周病侵犯到牙根分岔處的臼齒,這是屬於基本治療與居家口腔清潔的死角,如有必要的話,我可能會再建議進入到第二階段的牙周翻瓣手術。
Mr.Lin完整的嚴重牙周病治療過程可以參考這篇文章:嚴重牙周病治療: 全瓷冠/陶瓷貼片讓他恢復美觀自信
看了新竹 Mr. Lin 嚴重牙周病治療的故事,我也順便提醒大家,在我的門診中,很多牙周病患者會表示以前年輕時都沒有牙縫也沒有暴牙,現在卻有門牙縫。類似下圖中前牙門牙產生縫隙的狀況,其實是身體發出的訊號與徵兆,很多是因為後牙咬合崩壞,導致前牙病理性位移的結果。這是嚴重牙周病的重要症狀及警訊,強烈建議盡快給牙周專科醫師檢查評估!
圖示:嚴重牙周病後牙缺牙咬合崩壞,會使前牙歪斜產生縫隙(病理性位移)
植牙前先完成全口嚴重牙周病治療(案例二)
患者陳小姐是一位五十多歲的女性,她因右上的臼齒蛀牙疼痛到診所就診。一般牙科的醫師幫她做根管治療並且預計用牙套修復。因為隔壁顆是缺牙,因此一般牙科醫師便將患者轉診到我這裡評估植牙。
圖示:患者右上臼齒蛀牙的X光片
每當有患者想評估接受植牙療程,我一定會先評估整體的牙周狀況,畢竟有健康的牙周,植牙才會有穩固的地基,也才能使用的更長久。(植牙我比較謹慎一點,身為牙周病及植牙專科醫師,不隨便亂植牙是我的信念)
我們發現到患者的牙周與齒槽骨流失超過50%,缺牙一共有三顆。診斷是全口嚴重牙周病(第三期)。
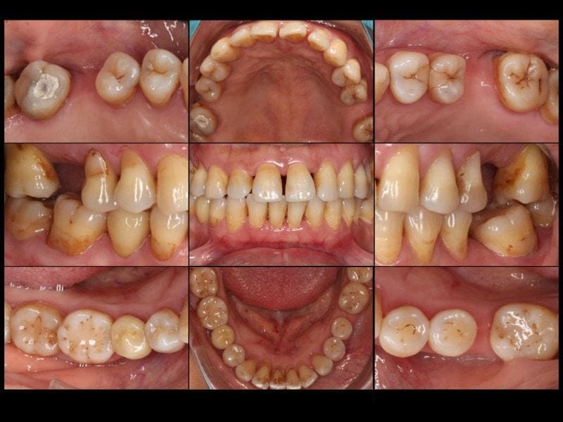
圖示:被診斷為第三期全口嚴重牙周病的各角度牙齒近照
圖示:被診斷為第三期全口嚴重牙周病的各角度口腔X光照
比照十年前的X光片,整體齒槽骨流失估計是10%,依照大部分牙周病的進展速度屬於中等(B級),但是在缺牙處旁的小臼齒區流失超過10%,破壞速度比較快(C級)。
患者來桃園找我植牙,以牙周專科醫師角度,有牙周病的患者一定會讓其了解控制牙周疾病的重要性,在進行牙周病相關治療與控制後,我才會開始植牙重建程序。
第一階段牙周病治療結束的一個月之後,我們認為整體牙周狀況已有初步穩定。不過右上第二大臼齒牙周病侵犯到牙根分岔處,也同時有齒槽骨凹陷,因此即使已經做過第一階段的牙周病治療後,牙周囊袋仍是比較深。
幸好,牙周病患者在我這裡進行植牙時,可以在植牙的同時進行 牙周翻瓣手術、牙周再生手術,減少患者手術的次數。一般如果各自找牙周專科醫師及植牙專科醫師分開做,就需要等比較長的時間,也會經歷多次手術,痛苦比較久。待四個月骨整合後裝好假牙,牙周囊袋也恢復正常值。
圖示:利用牙周瓣補與補骨,提供牙周組織良好的再生復原空間再裝上假牙
患者陳小姐:『我剛開始來植牙中心看牙齒是因為牙痛,覺得葉立維醫師很細心的為我講解我的全口牙齒狀況,我也能接受葉醫師的治療計畫,在植牙中心做了植牙、牙套,還有處理蛀牙的部分,我都覺得很不錯!』
每次在成功治療患者的嚴重牙周病或植牙後,看到患者恢復健康後的開心笑容,得到病友們的認同,就是我最開心的時候。(有些病友們很貼心的特地撥時間在google商家或FB給我們診所/植牙中心好評推薦,真是太感恩了~ 謝謝大家的肯定~)
但我還是要跟大家說牙周病治療完成後一定要好好清潔維護,保持穩定的牙周狀態,長保口腔健康喔!
全口嚴重牙周病不拔牙治療 (案例三)
案例中是一位四十多歲的先生,他除了全口有中等到嚴重程度牙周病以外,也有嚴重的蛀牙齲齒及缺牙造成全口咬合崩壞。
在來桃園當代牙醫找我之前,他也去了其他院所評估過,不少醫師提供的方案是『一日全口重建』或是『All-on-4全口重建植牙』,優點是會讓患者比較快有假牙,但缺點是可能要犧牲拔除很多顆牙齒。(幸運的是,他跑來找我~ 牙齒命不該絕~~)
我檢查評估後,我認爲經過牙周病的治療後,他大部分現有的牙齒可以治療保存,但是需要比較長的時間。
圖示:全口嚴重牙周病,治療前的口腔與牙齒局部X光照
即便是這麼嚴重的牙周病跟蛀牙、咬合崩壞,只要一個念頭,患者願意下定決心,就還來得及。我們先從牙周病第一階段療程開始,這個時期除了治療嚴重牙周病,也要養成患者願意配合,把口腔衛教習慣做好。(這才是根本~~ 又強調了一次)
積極治療保留每一顆牙齒,包括多顆根管治療、全瓷貼片與全瓷牙冠、上顎植牙一顆與下顎植牙四顆。
一年多的時間完成所有的治療,扣除一顆智齒斷根以外,治療這麼嚴重的牙周病沒有拔牙。
非常感謝患者的耐心與信任(這點很重要),完成後他能夠放心地吃東西,也能自信開懷展露笑容,對我來說真的是最棒也最有成就感的回饋!看他術後開心活潑的樣子,我寫這文章整理照片時,看了也很開心呢!
圖示:全口嚴重牙周病患者在免拔牙情況下完成嚴重牙周病治療,患者開心地與葉立維醫師合照
最後…. 如果您或親友有牙周病或嚴重牙周病的症狀,看到這篇文章,記得早點找有經驗的牙周病專科醫師諮詢或進行治療喔! 如果您方便來桃園,也歡迎您撥打我們的 免付費專線 0800-388-038 或透過 Line預約諮詢 牙周病或植牙相關問題。
文章來源出處:葉立維醫師個人網站

















